• Startseite
    • ruprecht fragt
    • Glosse
    • Schlagloch
    • Pro-Contra
  • Hochschule
    • StuRa
    • Hochschule bleibt stabil
  • Studentisches Leben
    • Psychische Gesundheit
    • 7 Tage
    • Dr. Ruprechts Sprechstunde
  • Heidelberg
    • Kneipenkritik
    • Heidelberger Historie
    • OB-Wahl 2022
  • Wissenschaft
  • Feuilleton
    • Literatur
    • Musik
    • Film & Theater
    • Pro-Contra im Feuilleton
  • Weltweit
  • Die Letzte
  • Online exklusiv
  • Über Uns
    • So entsteht die Ausgabe
    • Unsere Redaktion
    • Mitmachen!
    • Impressum
  • Print
    • Printarchiv
    • Leserbriefe – Info
    • Zu den Briefen
kein Ergebnis
View All Result
ruprecht
Samstag, 2. Mai 2026
  • Startseite
    • ruprecht fragt
    • Glosse
    • Schlagloch
    • Pro-Contra
  • Hochschule
    • StuRa
    • Hochschule bleibt stabil
  • Studentisches Leben
    • Psychische Gesundheit
    • 7 Tage
    • Dr. Ruprechts Sprechstunde
  • Heidelberg
    • Kneipenkritik
    • Heidelberger Historie
    • OB-Wahl 2022
  • Wissenschaft
  • Feuilleton
    • Literatur
    • Musik
    • Film & Theater
    • Pro-Contra im Feuilleton
  • Weltweit
  • Die Letzte
  • Online exklusiv
  • Über Uns
    • So entsteht die Ausgabe
    • Unsere Redaktion
    • Mitmachen!
    • Impressum
  • Print
    • Printarchiv
    • Leserbriefe – Info
    • Zu den Briefen
kein Ergebnis
View All Result
ruprecht
kein Ergebnis
View All Result

Alles für die Wissenschaft?

von ruprecht
13. Mai 2013
in Wissenschaft
Lesedauer: 5 Minuten
0
Alles für die Wissenschaft?

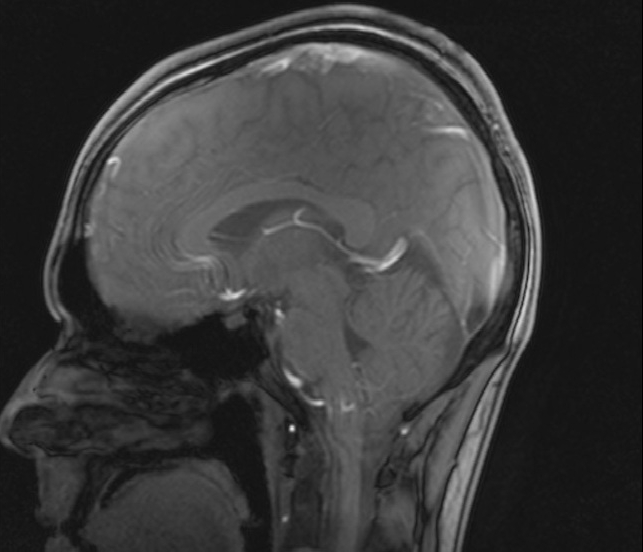
So sieht das Gehirn unseres Redakteurs also von innen aus. Foto: privat

Medizinische Forschung am Menschen ist wichtig und riskant. Ein persönlicher Einblick in die Hintergründe klinischer Studien

Seit Jahrhunderten strebt die Medizin danach, ihr Verständnis des menschlichen Körpers zu erweitern und effektivere Heilmethoden zu entwickeln. Häufig war ihre Vorgehensweise dabei äußerst umstritten. So waren die ersten Anatomen der frühen Renaissance noch darauf angewiesen, Leichen auf dem Friedhof auszugraben, um an ihnen heimlich die menschliche Physiologie zu studieren. Zwar hat sich die Wissenschaft seither enorm weiterentwickelt, an einem prinzipiellen Dilemma jedoch hat sich auch bis heute wenig geändert: Irgendwann muss sich medizinische Forschung auf den Menschen beziehen.

Insbesondere an Universitätskliniken, zu deren Kernbereichen Forschung zählt, müssen früher oder später Menschen als Testobjekte herhalten. Doch was, wenn Forschung, die potentiell Leben retten könnte, ein Risiko für ihre Testobjekte darstellt? Darf man einige Menschen gefährden, um anderen zu helfen? Und würde dies nicht den Hippokratischen Eid verletzen, den Schwur des Arztes, seinen Patienten nie zu schaden? Die Medizinische Fakultät Heidelberg arbeitet seit ihrer Gründung im Jahre 1386 an der Entwicklung und Verbesserung von Therapien. Zu ihren Schwerpunkten zählt dabei neben den Neurowissenschaften vor allem die Onkologie, die Krebsforschung. Mittlerweile zählt die Fakultät in Deutschland zu den angesehensten Forschungseinrichtungen. Und auch hier werden zahlreiche Studien mit menschlichen Testsubjekten durchgeführt. Mit FIM (first-in-man) Heidelberg existiert sogar ein eigens gegründetes Netzwerk, das sich auf die Durchführung und Begleitung von Studien insbesondere zur Erstanwendung neuer Medikamente spezialisiert hat.

Doch wie funktionieren Studien mit menschlichen Probanden? Und wie fühlt man sich als Versuchskaninchen? Um diesen Fragen auf den Grund zu gehen, habe ich mich als Proband für eine klinische Studie zur Erforschung der Ursachen der Höhenkrankheit angemeldet. Die Reaktionen auf mein Vorhaben erstreckten sich von Fragen wie: „Aber verkaufst du damit nicht deinen Körper?“ bis zu einem erschrockenen „Nein! Du schluckst keine Pillen!“ Ein Medikamententest war im Rahmen der Studie tatsächlich nicht vorgesehen. Der ersten Frage jedoch hatte ich wenig entgegenzusetzen. Die Entlohnung für die Studie betrug 100 Euro, für ein knappes Studentenbudget nicht wenig. Und das nur dafür, dass ich eine Nacht in einer sogenannten Hypoxiekammer verbringen sollte.

Dort würde ich Luft atmen, die statt der gewohnten 21 nur zwölf Prozent Sauerstoff enthält. Dies entspricht in etwa den Verhältnissen in einer Höhe von 4000 Metern über dem Meeresspiegel. Durch den einhergehenden Sauerstoffmangel, so die Forschungshypothese, würden die Wände der Blutgefäße des Gehirns undicht und daher Blut und Hirnwasser vermischt. Um dies zu prüfen, würden vorher und nachher MRT-Aufnahmen meines Kopfes gemacht.  Bei etwa der Hälfte der Probanden sei außerdem mit Symptomen der akuten Höhenkrankheit zu rechnen.

Dennoch, versicherte man mir während der umfassenden Vorbesprechung, gäbe es neben akutem Unwohlsein während der sogenannten Hypoxie absolut kein Risiko langfristiger Gesundheitsschäden. Außerdem sei rund um die Uhr medizinisches Personal in der Nähe. Kein Grund zur Sorge also. Die Tatsache, dass ich mit meiner Unterschrift unter den Probandenvertrag die Universität Heidelberg für den Fall meines Todes während der Studie von jeglicher Verantwortung lossprach, trug dennoch wenig zu meiner Beruhigung bei.

Darf Forschung einigen schaden, um anderen zu nutzen?

Die ethischen Probleme, die die klinische Forschung aufwirft, sind nicht neu. Bereits 1975 fanden sie Ausdruck und Anerkennung in der Deklaration von Helsinki. Diese umfassende Erklärung des Weltärztebundes, die seither mehrfach revidiert und zuletzt 2008 aktualisiert wurde, gilt als grundlegende ethische Richtlinie für die medizinische Forschung am Menschen. Für die anfangs aufgeworfenen Fragen findet sich hier eine gleichermaßen salomonische und unbefriedigende Antwort: Die Forschung sei nur dann zu rechtfertigen, wenn ihr potentieller Nutzen die inhärenten Risiken überwiege. Das Wohlergehen des individuellen Testobjekts jedoch wiege stets schwerer als alle anderen mit der Forschung verbundenen Interessen.

Trotz eines leicht mulmigen Gefühls begebe ich mich also in die Sportmedizinische Ambulanz der Krehl-Klinik, es ist Samstagnachmittag. Während andere Studenten sich für das abendliche Ausgehen wappnen, lasse ich die ersten Voruntersuchungen über mich ergehen. Kurz darauf liege ich bereits zum ersten Mal in einem Tomographen. Dessen Röhre ist noch enger als ich vermutet hatte. Und laut wird es in ihr auch: Ein MRT (Magnetresonanztomograph) arbeitet mit starken Magnetfeldern. Die dafür benötigten Stromstärken produzieren einiges Geräusch. Nach einer Weile fühle ich mich, als läge ich auf einem U-Bahn-Schacht.

Nach einiger Zeit, es muss wohl eine halbe Stunde gewesen sein, stoppt das Klopfen des Tomographen. Ich werde aus der Röhre gefahren. Nun soll die Hypoxie beginnen und ich beziehe mein Nachtquartier in einem scheinbar normalen Zweibettzimmer. Ich erhalte letzte Instruktionen, während die Klimaanlage bereits gnadenlos den Sauerstoff aus dem Raum saugt. Bereits wenig später melden sich erste Symptome. Mein Puls rast, ich fühle mich beschwipst und meine Augenlieder fühlen sich seltsam schwer an. Ich versuche zu lesen, aber ständig schweifen meine Gedanken ab. Nach einer Weile stößt mein Probandengeselle dazu. Er ist, wie offenbar viele Probanden, Medizinstudent und nimmt ebenfalls zum ersten Mal an einer Studie teil. Auch ihn lockt vor allem die Neugier, klinische Studien einmal aus einer anderen Perspektive zu erleben. Kurz darauf unterbricht Studienleiter Phillip, selbst noch Student, unser Dösen.

Grundlagenforschung ist abstrakt. Aber nicht überflüssig.

Während ihres regulären Studiums absolvieren Heidelberger Medizinstudenten ein kursfreies Semester, das meist der Forschung im Rahmen ihrer Promotion gewidmet wird. Die zu erforschende Thematik sowie die Vorgehensweise dabei obliegen ihrer eigenen Entscheidung. Phillip hatte sich vor allem aufgrund seines Interesses für Kletterei für diese Studie der Abteilung Höhenmedizin entschieden. So hatte es ihn bereits früh in die Forschung am Menschen verschlagen.

Es ist Zeit für eine erste Zwischenuntersuchung. Langsam erhebe ich mich von meinem Bett und muss feststellen, dass Sauerstoffmangel auch leichte Tätigkeiten wie Stehen nicht unbedingt einfacher macht. Benommen wanke ich durch den Raum, um mir Blut aus dem Ohrläppchen entnehmen zu lassen. Das anschließende Abendessen mümmele ich mit Mühe. Mittlerweile habe ich Kopfschmerzen und auch mein Bettnachbar wirkt etwas blass. Unser anschließender Versuch, einen Film zu schauen, scheitert an unserer Mattigkeit. Gegen zehn Uhr abends bekomme ich Ibuprophen gegen die Kopfschmerzen und wenig später befinde ich mich in einem tranceähnlichen Zustand. Dennoch kann ich mich über meine Lage kaum beklagen. Während ich sogar immer wieder für einige Minuten schlafen kann, ergeht es meinem Mitprobanden trotz der rührenden Pflege durch Phillip wesentlich dreckiger. Immer wieder dringen unglimpfliche Kotzgeräusche vom Nachbarbett zu mir herüber.

Am nächsten Morgen sehne ich die abschließende MRT-Aufnahme förmlich herbei. Mittlerweile ist mir vollauf bewusst, wofür man das scheinbar leicht verdiente Probandenentgelt erhält. Nicht dass ich meine Teilnahme an der Studie bereuen würde, aber erneut teilnehmen werde ich wohl nicht. Kurz darauf werde ich in einem Rollstuhl Richtung MRT geschoben, neben mir ein riesiger Blasebalg. Durch diesen werde ich auch weiterhin mit sauerstoffarmer Luft beatmet. In den Gängen der Klinik werde ich misstrauisch beäugt; ich muss ziemlich miserabel aussehen. Eine halbe Stunde später jedoch ist alles überstanden. Zum ersten Mal seit zwölf Stunden kann ich wahrhaft durchatmen. Ein wunderschönes Gefühl. Nach diesem Erlebnis beschleicht mich jedoch erneut die Frage: Wozu das Ganze? Wofür, außer als neues Facebook-Profilbild, taugen 2000 Fotos meines Gehirns? Kurz: Hat sich der Aufwand gelohnt?

Dem Probanden entsteht kein unmittelbarer persönlicher Nutzen aus der Studie. So steht es in dem Vertrag, den ich vor meiner Teilnahme unterschrieb. Doch möglicherweise gelingt es Phillip, aus meinen Daten neue Erkenntnisse über die Höhenkrankheit zu gewinnen. Zu verstehen, welche Prozesse bei ihrer Entstehung eine Rolle spielen und wie sie sich auf den Körper auswirkt. Und möglicherweise helfen diese Erkenntnisse irgendwann dabei, eine Therapie zu entwickeln.Ein fundamentales Problem der Grundlagenforschung besteht darin, dass ihr Zweck oft wenig greifbar erscheint, ihre Ziele in der Zukunft liegen. Und was die Medizin betrifft, wird sich auf ihr grundlegendes moralisches Dilemma wohl auch in Zukunft keine bessere Antwort finden lassen. Doch eines dürften fünf Jahrhunderte, die der Mensch und sein Körper bereits als medizinisches Versuchsobjekt dienten, deutlich gezeigt haben: Überflüssig ist diese Forschung keinesfalls.

von Paul Eckartz

ruprecht
+ postsBio
  • ruprecht
    ruprecht weihnachtet
  • ruprecht
    Promotion und Propaganda
  • ruprecht
    ruprechts Multiverse of Madness
  • ruprecht
    Gewinner des Fotowettbewerbs
  • ruprecht
    alternative Wahlplakate
  • ruprecht
    Wir müssen reden
  • ruprecht
    7 Tage Essen in der Bib
  • ruprecht
    Heute Regen, morgen Streik
  • ruprecht
    Powi – lasst es lieber
  • ruprecht
    Existenzen in Flammen
  • ruprecht
    Ein didaktisches Wirrwarr
  • ruprecht
    Leserbrief: Maskenwahnsinn!
  • ruprecht
    Eine Kleine Poesie: Corona-Bib-Rap
  • ruprecht
    Eine Kleine Poesie: Ewigkeit
  • ruprecht
    Eine Kleine Poesie: Phlegethon und Lethe
  • ruprecht
    Eine Kleine Poesie: Holzhaus
  • ruprecht
    Eine Kleine Poesie: lauwarm geht auch
  • ruprecht
    Eine Kleine Poesie: ein loch und merkmal
  • ruprecht
    Eine Kleine Poesie: Isolation und Spülgang
  • ruprecht
    Die Letzte
  • ruprecht
    Eine kleine Poesie: Ein Gott
  • ruprecht
    Auslandssemester im Lockdown
  • ruprecht
    Schweden: Insel der Normalität in Corona-Zeiten?
  • ruprecht
    Corona-Notausgabe des 185. ruprechts nur Online
  • ruprecht
    Universitetet i Oslo
  • ruprecht
    Befreiende Fristen? Contra
  • ruprecht
    Documents from the Property of Ronald Grossarth-Maticek
  • ruprecht
    Albu- was?!
  • ruprecht
    Brandgefährlich
  • ruprecht
    Konzentrierte Kompetenz
  • ruprecht
    Befreiende Fristen? Pro
  • ruprecht
    Obdachlos am Golden Gate
  • ruprecht
    Tränengas und Wahlbetrug
  • ruprecht
    Der Preis des Examens
  • ruprecht
    AfD will VS-Beitrag abschaffen
  • ruprecht
    Haariges Opfer
  • ruprecht
    Uni im Ausnahmezustand
  • ruprecht
    Freitags um die Welt – Ein Bericht aus Frankreich
  • ruprecht
    Druck auf Klimapolitik
  • ruprecht
    Freitags um die Welt – Ein Bericht aus Spanien
  • ruprecht
    Ausgabe 182
  • ruprecht
    Effektive Rebellion?
  • ruprecht
    Effektive Rebellion?
  • ruprecht
    „Es geht darum ein Zeichen zu setzen und die Erinnerung wachzuhalten“
  • ruprecht
    „Warum wählst du (nicht)?“
  • ruprecht
    Bluttest-Skandal spitzt sich zu
  • ruprecht
    Fünf Minuten kein Ungehorsam
  • ruprecht
    Eine diabolische Blume – Rezension „La Flor“
  • ruprecht
    Im Osten nichts Neues
  • ruprecht
    Mit Beat und Gitarre
  • ruprecht
    Sturz aus dem Elfenbeinturm
  • ruprecht
    Bewohnte Bühne
  • ruprecht
    „Keine geldgierigen Egoisten“
  • ruprecht
    Früher war ich Bücherwurm
  • ruprecht
    Die Memelords von Heidelberg
  • ruprecht
    Sonntags bin ich Meerjungfrau
  • ruprecht
    Faire Förderung? – Pro
  • ruprecht
    Unbegangen
  • ruprecht
    Faire Förderung? – Contra
  • ruprecht
    How to Lehramt
  • ruprecht
    Hier hat schon Uropa gegessen
  • ruprecht
    Bunte statt braune Bilder
  • ruprecht
    Kein Platz für’s Pausenbrot
  • ruprecht
    Wozu Lyrik, Herr Stolterfoht?
  • ruprecht
    Unter dem Henkel-Mond
  • ruprecht
    Bezahlte Aussicht
  • ruprecht
    Baustelle Bologna
  • ruprecht
    Unstete Umfragen
  • ruprecht
    Leben in der Illusion
  • ruprecht
    Europa in vollen Zügen genießen
  • ruprecht
    Universität ersetzt das LSF
  • ruprecht
    Auf den Frosch gekommen
  • ruprecht
    Zeitgeist: Nein, danke!
  • ruprecht
    Vibratoren gegen Hysterie
  • ruprecht
    Nicht weiter ignorieren
  • ruprecht
    Wegen Kritik exmatrikuliert
  • ruprecht
    Gewalt gegen Pride Parade
  • ruprecht
    Universität ersetzt das LSF
  • ruprecht
    Rippchen in Rohrbach
  • ruprecht
    „Biertrinken gehört zur DNA Münchens“
  • ruprecht
    Ausgabe 181
  • ruprecht
    Mehr als eine Geschichte
  • ruprecht
    Kugelschreiber statt Waffen
  • ruprecht
    Frieden mit Ablaufdatum
  • ruprecht
    Speisen und Fluchen
  • ruprecht
    Pille gegen Prüfungsstress
  • ruprecht
    Ungebremst
  • ruprecht
    Hilfe, ich werde begrabscht
  • ruprecht
    Grenzsituationen
  • ruprecht
    Kolumne: Zeitgeist
  • ruprecht
    Neuer Vorschlag, neues Glück
  • ruprecht
    Notwendiges Übel? – Contra
  • ruprecht
    Notwendiges Übel? – Pro
  • ruprecht
    You shall not pass
  • ruprecht
    Natürlich oberflächlich
  • ruprecht
    Die Kugeln klingen lassen
  • ruprecht
    Lindenstraße 2.0
  • ruprecht
    Wenn ich groß bin, geh’ ich zur Uni
  • ruprecht
    Schöne alte Welt
  • ruprecht
    Ausgabe 180
  • ruprecht
    360° – Hip Hop in und aus Heidelberg
  • ruprecht
    Gekonnt gestritten
  • ruprecht
    ruprechts Plattenkiste: King Gizzard and the Lizard Wizard: Fishing for Fishies
  • ruprecht
    ruprechts Plattenkiste: Wild Stare – Giant Rooks
  • ruprecht
    ruprechts Plattenkiste: Billie Eilish – When we all fall asleep, where do we go?
  • ruprecht
    „Wir sind der Asteroid“
  • ruprecht
    Vom Anfang und Ende aller Zeiten
  • ruprecht
    “Diener des Volkes?“
  • ruprecht
    Realistische Ziele
  • ruprecht
    Politischer Nachwuchs
  • ruprecht
    „Es ist immer sau persönlich“
  • ruprecht
    Zeitgeist: Retro-Taumel
  • ruprecht
    Studieren hinter Gittern
  • ruprecht
    Ungebunden – Häuserkampf im Kleinformat
  • ruprecht
    Lost in Democracy?
  • ruprecht
    Hogwarts statt Hörsaal
  • ruprecht
    Europäische Visionen
  • ruprecht
    Kängurus huckepack tragen
  • ruprecht
    Zwischen Anzug, Banane und Stilmix
  • ruprecht
    Die andere Seite der Tür
  • ruprecht
    Bundesliga für Unis? – Contra
  • ruprecht
    Zwischen Zuchthaus und Mateschuppen
  • ruprecht
    Nicht das Musical
  • ruprecht
    Der Klimakrise begegnen
  • ruprecht
    Freibeuter des Wissens
  • ruprecht
    Marvels Machart
  • ruprecht
    Der ruprecht fragt, die Listen antworten – StuRa Wahl 2019
  • ruprecht
    Bundesliga für Unis? – Pro
  • ruprecht
    Gerollte Unterhosen
  • ruprecht
    Das ruprecht-Einmaleins zum Wahlsemester
  • ruprecht
    Mit Himbeere zum Höhepunkt
  • ruprecht
    Keine halben Sachen
  • ruprecht
    Kritik von *innen
  • ruprecht
    Kreative Empörung
  • ruprecht
    „Verständlich erklären ist Pflicht“
  • ruprecht
    Ausgabe 179
  • ruprecht
    Ist „Fietsen“ bald das neue Radeln?
  • ruprecht
    Auftakt zum großen Wahlsemester
  • ruprecht
    Rezension: der gestaute und frei fließende Fluß
  • ruprecht
    At the Edge of Reality – Teil 3
  • ruprecht
    Hör mal, wer da hämmert!
  • ruprecht
    At the Edge of Reality – Teil 2
  • ruprecht
    „Ich kann nicht einmal einkaufen gehen, ohne dass der ruprecht meine Schuhgröße abdruckt“
  • ruprecht
    „Wir haben eine gefährliche Saturiertheit“
  • ruprecht
    Neues EU-Urheberrecht: Das sagen die Abgeordneten aus der Region
  • ruprecht
    Leck mich doch!
  • ruprecht
    Luftschlösser zum Anfassen
  • ruprecht
    Für alles gewappnet?
  • ruprecht
    Badische Besäufnisse
  • ruprecht
    Entzauberung
  • ruprecht
    Demo gegen Sexismus
  • ruprecht
    Netflix & Learn
  • ruprecht
    Umstrittene Barrierefreiheit
  • ruprecht
    Der gewohnte Kampf
  • ruprecht
    Gepoppt
  • ruprecht
    Mord in der Bahnstadt
  • ruprecht
    Gefangen im Tindergarten
  • ruprecht
    Fassadenwechsel
  • ruprecht
    Die gelbe Rebellion
  • ruprecht
    Rezept zur Zulassung
  • ruprecht
    Fettnäpfchen am Mittagstisch
  • ruprecht
    Küss die Hand, Eva Braun
  • ruprecht
    Böses Erwachen
  • ruprecht
    Ein Querschnitt der Gesellschaft
  • ruprecht
    ruprechts Plattenkiste: The 1975 – A Brief Inquiry into Online Relationships
  • ruprecht
    Zweifelhafte Ehre
  • ruprecht
    Silicon Valley im Neckartal
  • ruprecht
    Gepoppt
  • ruprecht
    Es ist kompliziert
  • ruprecht
    Exkursionspflicht? – Contra
  • ruprecht
    ruprechts Plattenkiste: Earl Sweatshirt – Some Rap Songs
  • ruprecht
    Ausgabe 178
  • ruprecht
    The same procedure as every year
  • ruprecht
    Kein Stern über Malta
  • ruprecht
    Katalanische Klangwelten
  • ruprecht
    Die Lehren aus dem NSU-Prozess
  • ruprecht
    Eine Frage der Schuld
  • ruprecht
    Mit Bier zum Sonnengruß
  • ruprecht
    Life in plastic, not fantastic
  • ruprecht
    „Viel Meinung, wenig Ahnung“
  • ruprecht
    Freie Fahrt für Wasserstoff
  • ruprecht
    Hinsehen oder Verdrängen
  • ruprecht
    Revolution auf der Couch
  • ruprecht
    Stress oder Besinnlichkeit?
  • ruprecht
    Keine leichte Entscheidung
  • ruprecht
    Ein umstrittener Gastredner
  • ruprecht
    Politisch korrekt? – Pro
  • ruprecht
    Flimmernde Farben
  • ruprecht
    Ansichten einer Generation
  • ruprecht
    Bildungskampf
  • ruprecht
    Vietnam im Kakaobunker
  • ruprecht
    Frieren mit Cicero
  • ruprecht
    Unbesinnlich
  • ruprecht
    Spieglein, Spieglein…
  • ruprecht
    The Bags Are Back in Town
  • ruprecht
    Heidelwarts
  • ruprecht
    Unbesinnlich
  • ruprecht
    Was ist schon normal?
  • ruprecht
    Quo vadis, ZSL?
  • ruprecht
    Die Rückkehr der Angst
  • ruprecht
    Politik aufs Ohr
  • ruprecht
    Mit Bier zum Sonnengruß
  • ruprecht
    Nonstop Weihnachten
  • ruprecht
    Sprachlos im ZSL
  • ruprecht
    Ausgabe 177
  • ruprecht
    „Was kostet eine Frau?“
  • ruprecht
    „Das habe ich auch nie bestritten!“
  • ruprecht
    Kein Jazz für den Hintergrund
  • ruprecht
    Ohne Schein kein Sein
  • ruprecht
    Grün, grüner, Foodsharing?
  • ruprecht
    Ausgang ungewiss…
  • ruprecht
    Hätte, hätte, Fahrradkette
  • ruprecht
    Flucht vor dem Numerus Clausus
  • ruprecht
    Der Weg in den sicheren Hafen
  • ruprecht
    Effizienz und Leberkäs
  • ruprecht
    ruprechts Plattenkiste: Alligatoah – Schlaftabletten, Rotwein V
  • ruprecht
    Was in der Grauzone bleibt
  • ruprecht
    Seebrücke statt Seehofer
  • ruprecht
    Die Schwimmnudelaffäre
  • ruprecht
    Kleines Brexit-FAQ
  • ruprecht
    Ein Herz für Erstis
  • ruprecht
    Contra: Ein Klo für alle?
  • ruprecht
    Die Grenze ist ein Pinselstrich
  • ruprecht
    ruprechts Plattenkiste: Alice in Chains – Rainier Fog
  • ruprecht
    Wenn die Nacht zum Tag wird
  • ruprecht
    Geld versus Wissenschaft
  • ruprecht
    Das Arbeitsamt der Zukunft
  • ruprecht
    Der Weg in den sicheren Hafen
  • ruprecht
    „Ich werde mich beweisen müssen“
  • ruprecht
    Wie könnte es weitergehen?
  • ruprecht
    Der Antibabytee
  • ruprecht
    ruprechts Plattenkiste: Igor Levit – Life
  • ruprecht
    „Wir sind dran“
  • ruprecht
    100 Jahre Mitbestimmung
  • ruprecht
    Holbeinring weiter offline?
  • ruprecht
    Gender Gaga?
  • ruprecht
    Choose your fighter
  • ruprecht
    Kein Sommer für Juristen
  • ruprecht
    Untreu – Contra
  • ruprecht
    Pro: Ein Klo für alle?
  • ruprecht
    Let’s Play: Brexit
  • ruprecht
    Doch keine Renaissance
  • ruprecht
    Ausgabe 176
  • ruprecht
    Rot ist eine grausame Farbe
  • ruprecht
    Ein gelungenes Cover
  • ruprecht
    „Eine Schande für unser Land“
  • ruprecht
    Boykottaktion gegen das Studierendenwerk
  • ruprecht
    Umzug in die Altstadt
  • ruprecht
    Kürzt das Studierendenwerk Jobs für studentische Aushilfen?
  • ruprecht
    Hasta la viesta?
  • ruprecht
    Lösungen für das ruprecht-Gehirnjogging
  • ruprecht
    Noch nicht meisterhaft?
  • ruprecht
    Wenn das Hüngerchen ruft
  • ruprecht
    Mit einem Lachen lernen
  • ruprecht
    Freiluftshopping
  • ruprecht
    „Kritik bestärkt mich“
  • ruprecht
    Vote me, baby, one more time!
  • ruprecht
    Das kleine Nextbike-Einmaleins
  • ruprecht
    #FAQ my StuRa-Wahl
  • ruprecht
    Wahlen, Klappe die zweite
  • ruprecht
    Stiller Tanz auf der Alten Brücke
  • ruprecht
    Neckar? Na lecker
  • ruprecht
    ruprechts Plattenkiste: Johnny Marr: Call the Comet
  • ruprecht
    ruprechts Plattenkiste: James Bay: Electric Light
  • ruprecht
    ruprechts Plattenkiste: Ray Chen: The Golden Age
  • ruprecht
    Ein Heidelberger Unterkiefer
  • ruprecht
    Raus aus Heidelberg
  • ruprecht
    Arm, aber exzellent
  • ruprecht
    Verboten lecker?
  • ruprecht
    Kampf im Kleinen
  • ruprecht
    Bewerben ohne Ende
  • ruprecht
    Pro: Berufsnahe Unis?
  • ruprecht
    Ungehört
  • ruprecht
    Die richtigen Worte
  • ruprecht
    Vom selben Schlag
  • ruprecht
    Notizen aus dem Netz
  • ruprecht
    Auf der faulen Haut
  • ruprecht
    Ausgabe 175
  • ruprecht
    Ernüchterndes Ergebnis
  • ruprecht
    Heidelberg wählt trotzdem
  • ruprecht
    Spacig
  • ruprecht
    „Grün ist bei der WM nur der Rasen“
  • ruprecht
    Das Leben nach Sonnenuntergang
  • ruprecht
    Der Anti-Moralist
  • ruprecht
    Die BDS-Kampagne ist eine Variante des arabischen Boykotts
  • ruprecht
    „Strebt danach, keine Angst zu haben“
  • ruprecht
    Der ewig postpubertäreTyp
  • ruprecht
    Frauen an die Rechner
  • ruprecht
    Autobahn fürs Fahrrad
  • ruprecht
    „Nur nichts aus der Dose“
  • ruprecht
    Geschlossene Gesellschaft
  • ruprecht
    Den Stau smart auflösen
  • ruprecht
    Mehr als nur Design
  • ruprecht
    RCDS verliert vor Gericht
  • ruprecht
    BAföG für alle? – Pro
  • ruprecht
    Endlich Zuhause
  • ruprecht
    Sprechen über den Tod
  • ruprecht
    „Pizza ist in der Evolution stehengeblieben“
  • ruprecht
    Promotionspleite
  • ruprecht
    Amerika, wir müssen reden
  • ruprecht
    Und wen wählst du?
  • ruprecht
    Auf dem Boden der Tatsachen
  • ruprecht
    Die Qual der zwei Wahlen
  • ruprecht
    BAföG für alle? – Contra
  • ruprecht
    „Was machten sie nach dem Krieg?“
  • ruprecht
    Sorgenkind Altstadt
  • ruprecht
    Nicht machtlos gegen Big Brother
  • ruprecht
    Das „Quer-durchs-Land“-Frühstück
  • ruprecht
    Die Vermessung der Clubs
  • ruprecht
    Das Leben nach Sonnenuntergang
  • ruprecht
    Lautlos sprechen
  • ruprecht
    StuRa widerruft BDS-Boykott
  • ruprecht
    Umzug mit Fahrrad
  • ruprecht
    Zimmer auf dem Campus
  • ruprecht
    Kommt das landesweite Semesterticket?
  • ruprecht
    Mit Böhmermann im Bus
  • ruprecht
    Mit der Seilbahn ins Feld?
  • ruprecht
    Hände hoch!
  • ruprecht
    ruprechts Plattenkiste: Cosmo Sheldrake: The Much Much How How and I
  • ruprecht
    Hüpfburg für die Großen
  • ruprecht
    Alt und verstaubt?
  • ruprecht
    Schrille Töne
  • ruprecht
    Blut gegen das Vergessen
  • ruprecht
    Spiel mir das Lied vom Weltuntergang
  • ruprecht
    30 Jahre Dialog
  • ruprecht
    Erste Sahne
  • ruprecht
    ruprechts Plattenkiste: Breaking Benjamin: Ember
  • ruprecht
    Digitale Paarungszeit
  • ruprecht
    Und täglich grüßt der Marstall
  • ruprecht
    Pro: Landesweites Semesterticket?
  • ruprecht
    Adieu, Ghetto-Netto
  • ruprecht
    Contra: Landesweites Semesterticket?
  • ruprecht
    Akademische Ausbeutung
  • ruprecht
    Nachtleben in Gefahr
  • ruprecht
    Sprechen über den Tod
  • ruprecht
    Plastik für die Umwelt
  • ruprecht
    „Wir sind alle krank!“
  • ruprecht
    Abzocke mit Ausblick
  • ruprecht
    Modern Talking
  • ruprecht
    ruprechts Plattenkiste: David Byrne: American Utopia
  • ruprecht
    Erkenne dich selbst
  • ruprecht
    Mal wieder Marvel
  • ruprecht
    Blutig
  • ruprecht
    Für Gott, Fürst und Vaterland
  • ruprecht
    Pioniere der Vielfalt
  • ruprecht
    ruprechts Plattenkiste: Lautten Compagney: Misterio: Biber & Piazzolla
  • ruprecht
    ruprechts Plattenkiste: Juse Ju: Shibuya Crossing
  • ruprecht
    Professor für einen Tag
  • ruprecht
    Bauer macht ernst
  • ruprecht
    Nazi-Hipster
  • ruprecht
    „Volle Referate wären optimal“
  • ruprecht
    Shakespeare, Orwell und Asbest
  • ruprecht
    Ausgabe 173
  • ruprecht
    Eine Woche Deutsch-Amerikanische Freundschaft
  • ruprecht
    Gefahr in jedem Atemzug
  • ruprecht
    Nextbike-Testphase – Studis fahren eine halbe Stunde umsonst
  • ruprecht
    Danke Mannheim
  • ruprecht
    Die Suche nach dem Wir
  • ruprecht
    Neues aus dem #StuRaHD
  • ruprecht
    Schluss mit Sternenhimmel auf der Neckarwiese
  • ruprecht
    Ehemalige VS-Vorsitzende wegen Veruntreuung verurteilt
  • ruprecht
    Monnemer Türk jetzt auch im Kino
  • ruprecht
    Ins Wasser gefallen?
  • ruprecht
    ruprechts Plattenkiste: The Alliance – Cypecore
  • ruprecht
    ruprechts Plattenkiste: Little Dark Age – MGMT
  • ruprecht
    ruprechts Plattenkiste: The Vienna Berlin Music Club Vol. 1 – Philharmonix
  • ruprecht
    Forelle im Rampenlicht
  • ruprecht
    Zwischen Orient und Okzident
  • ruprecht
    Tarifvertrag gut, alles gut?
  • ruprecht
    Nach Einbruch und Belästigung in Wohnheim: Studierendenwerk mahnt zur Vorsicht
  • ruprecht
    „Graffiti ist Malerei!“
  • ruprecht
    Vom Rinderzüchter zum Politiker
  • ruprecht
    Drama ohne Ende
  • ruprecht
    Eitel bleibt konstant
  • ruprecht
    Nächste Runde Nextbike
  • ruprecht
    Das berühmteste Lehrerkind Deutschlands
  • ruprecht
    Pro: Namenlos?
  • ruprecht
    Rettung in letzter Sekunde
  • ruprecht
    Öl auf Leinwand
  • ruprecht
    „Die Angst sitzt tief“
  • ruprecht
    Die Wurzeln der Radikalen
  • ruprecht
    Secret Diary of a Fly Girl
  • ruprecht
    Rektoren fester im Sattel
  • ruprecht
    Das 18. Silvester unter Putin
  • ruprecht
    Erst die Arbeit, dann die Armut
  • ruprecht
    Kaffeezimmerchen
  • ruprecht
    Über die Paywall hinaus
  • ruprecht
    Fit gegen Stress
  • ruprecht
    Strom für Idealisten
  • ruprecht
    Contra: Namenlos?
  • ruprecht
    NC auf der Kippe
  • ruprecht
    Kaufen ja, trinken nein
  • ruprecht
    Die Bühnen öffnen
  • ruprecht
    Ein Experiment in Achtsamkeit
  • ruprecht
    Nichts als die Wahrheit
  • ruprecht
    „Wir sind keine Maschinen“
  • ruprecht
    Alles für die Bahnstadt
  • ruprecht
    Studieren um jeden Preis?
  • ruprecht
    Nur noch die Kneipen fehlen
  • ruprecht
    Ausgabe 172
  • ruprecht
    Spielarten der Norm
  • ruprecht
    Happy Birthday, ruprecht!
  • ruprecht
    Das Prinzip Hoffnung
  • ruprecht
    „I can only speak from myself“
  • ruprecht
    Einen Job ertindern
  • ruprecht
    Spielplatz für Kreative
  • ruprecht
    Eine Straße sui generis
  • ruprecht
    Rabatt aufs Bechern
  • ruprecht
    Sick Brother Is Watching You
  • ruprecht
    Grüner wird’s nicht
  • ruprecht
    „Es lebt sich gut ohne Smartphone“
  • ruprecht
    Das Volk entscheidet?
  • ruprecht
    Die pinke Gefahr
  • ruprecht
    Enge Zusammenarbeit
  • ruprecht
    Das Volk entscheidet?
  • ruprecht
    Schwarz-weiß in Knallbunt
  • ruprecht
    Verschwiegene Katastrophe
  • ruprecht
    Schlaflos in Paris
  • ruprecht
    Eitels Plauderstunde
  • ruprecht
    Noch nicht ganz druckreif
  • ruprecht
    Jeden Tag ins Glas geschaut
  • ruprecht
    In der Geisterwelt
  • ruprecht
    Mehr als Stuhlkreis
  • ruprecht
    Starthilfe in den Beruf
  • ruprecht
    Schallplattentzückt
  • ruprecht
    Muschi-Marketing
  • ruprecht
    Abschreckende Campus-Maut
  • ruprecht
    Ehe gut, alles gut
  • ruprecht
    Zensur zahlt sich aus
  • ruprecht
    Kneipengesang
  • ruprecht
    Sprechen über den Tod
  • ruprecht
    Revolutionäre Nostalgie
  • ruprecht
    Schlabberig
  • ruprecht
    Made in Heidelberg
  • ruprecht
    Vorhang auf
  • ruprecht
    Auf der Suche nach Widerstand
  • ruprecht
    Ausgabe 171
  • ruprecht
    Was unterscheidet eine ernsthafte Filmkritik von einem gewöhnlichen Kommentar?
  • ruprecht
    Unglaublich unterhaltend und schonungslos wahr
  • ruprecht
    Quergelesen
  • ruprecht
    Doch nicht so simpel wie bei Marx
  • ruprecht
    Schall und Rauch, Beats und Nebel
  • ruprecht
    Der ruprecht wird 30
  • ruprecht
    „Ein Recht auf Bildung und freie Studienwahl“
  • ruprecht
    Virtuelles Kräftemessen
  • ruprecht
    Zwischen Himmel und Hölle
  • ruprecht
    Wer den Sittich stört
  • ruprecht
    Sprechen über den Tod
  • ruprecht
    Duell der Giganten
  • ruprecht
    Nur mal kurz die Welt retten
  • ruprecht
    Früher war mehr Disco
  • ruprecht
    Viel Lärm um Taiwan
  • ruprecht
    Genetik im Dialog
  • ruprecht
    Musealer Totenkult
  • ruprecht
    Die vergessene Minderheit
  • ruprecht
    Liaison gegen die Angst
  • ruprecht
    Endlich wieder Neuland
  • ruprecht
    Arbeit für umme?
  • ruprecht
    Ungebetene Gäste
  • ruprecht
    Studentenfutter
  • ruprecht
    Bollwerk wider den Zeitgeist
  • ruprecht
    Eine enttäuschende Vorstellung
  • ruprecht
    Leben auf der Luftmatratze
  • ruprecht
    Glosse: Totgesagte leben länger
  • ruprecht
    Me, myself and I
  • ruprecht
    Ein saufender Spaßvogel
  • ruprecht
    Bad Hair Day war gestern
  • ruprecht
    Beats, Bier und Belästigung
  • ruprecht
    Neue Bauernregeln
  • ruprecht
    „Hexenjagd auf Links“
  • ruprecht
    Ausgabe 170
  • ruprecht
    Schöne neue Welt – Vielleicht schon bald Realität?
  • ruprecht
    Bauer in der Kritik
  • ruprecht
    Monogamie ist einfach nicht sein Ding
  • ruprecht
    Wohnheim am Holbeinring: Seit über 100 Tagen offline
  • ruprecht
    Heidelberg erneut auf dem Weg zur Exzellenzuniversität
  • ruprecht
    Ersti Wintersemester 2017/2018
  • ruprecht
    Schauspiel in tropischem Grün
  • ruprecht
    „In Nebensätzen bezaubernd“
  • ruprecht
    Wissenschaftsministerium will „politisches Mandat“ der Studierendenschaften streichen
  • ruprecht
    Dyke*March erstmals in Heidelberg
  • ruprecht
    #Royalvisitgermany: Sperrungen und Umleitungen
  • ruprecht
    Fremde Welten
  • ruprecht
    Jura-Abschluss neu denken
  • ruprecht
    König sucht Frau
  • ruprecht
    „Masterplan“ für das Feld
  • ruprecht
    „Ein bisschen wie Impressionismus“
  • ruprecht
    Spechen über den Tod
  • ruprecht
    Immer der Zunge nach
  • ruprecht
    Glosse: Royales Reisen
  • ruprecht
    Anatomisches Memento mori
  • ruprecht
    Digitales Pinkeltagebuch
  • ruprecht
    Kommentar: Nach Hause telefonieren
  • ruprecht
    Hitzefrei durch die Klausurenphase
  • ruprecht
    Neuer StuRa gewählt
  • ruprecht
    Erfrischend uneitel
  • ruprecht
    BaföG better have my money
  • ruprecht
    Andächtig studieren
  • ruprecht
    Contra: Legalize it?
  • ruprecht
    Spiel mir das Lied vom Tonbandgerät
  • ruprecht
    Kick it like Bergheim
  • ruprecht
    Ohne Noten besser studieren?
  • ruprecht
    Royales Winke-Winke
  • ruprecht
    Rassismus zum Kleben
  • ruprecht
    Pro: Legalize it?
  • ruprecht
    Vom Hörsaal in den Bundestag
  • ruprecht
    Verzaubert
  • ruprecht
    Mein Freund, der Spitzel
  • ruprecht
    Ausgabe 169
  • ruprecht
    Neues aus dem #StuRaHD: Wahlbeteiligung sehr hoch
  • ruprecht
    Neues aus dem #StuRaHD: Raddemo abgesagt
  • ruprecht
    Wahlen: Studi-O-Mat im Praxistest
  • ruprecht
    Ziemlich beste Freunde mit gewissen Vorzügen
  • ruprecht
    Verkapptes Genie
  • ruprecht
    Mehr Schein als Wein
  • ruprecht
    Eisbaukasten
  • ruprecht
    Du kommst hier nicht rein
  • ruprecht
    Ein fluchender Papst
  • ruprecht
    Bibliothek im Wandel
  • ruprecht
    Die Spur der Poesie
  • ruprecht
    Geiz ist geil?
  • ruprecht
    Contra: Druck oder Anreiz?
  • ruprecht
    Kuratieren geht über studieren
  • ruprecht
    Pauken für die Provinz
  • ruprecht
    Stoppschild für Demo
  • ruprecht
    Wahlen an der Uni
  • ruprecht
    Ungekürzt
  • ruprecht
    Schöne neue Welt?
  • ruprecht
    200 Jahre Fahrrad
  • ruprecht
    Sprechen über den Tod
  • ruprecht
    „Ich bin verrückt nach Dialog“
  • ruprecht
    Glosse: Studentenbörse
  • ruprecht
    Pro: Druck oder Anreiz?
  • ruprecht
    Aluhüte und Reptiloiden
  • ruprecht
    Es geht rund!
  • ruprecht
    Facetten einer Beziehung
  • ruprecht
    Hürdenlauf in den Hörsaal
  • ruprecht
    Ausgabe 168
  • ruprecht
    Glosse: Geteiltes Heidelberg
  • ruprecht
    Darmstadt wird Millionär
  • ruprecht
    Zum stechen gern
  • ruprecht
    Neues aus dem #StuRaHD – Finanzreferentin gewählt
  • ruprecht
    Ein Hauch von Disneyland
  • ruprecht
    Contra: Unreif trotz Schulabschluss?
  • ruprecht
    Pro: Unreif trotz Schulabschluss?
  • ruprecht
    Grün hinter den Ohren
  • ruprecht
    Unter Beobachtung
  • ruprecht
    Zum Musizieren in den Keller
  • ruprecht
    Unverbesserlich
  • ruprecht
    Wandelbares Wohnen
  • ruprecht
    Ein Tanten-Tandem
  • ruprecht
    Das elektronische Gehirn
  • ruprecht
    Die letzten Saurier von Mexiko
  • ruprecht
    Rumänien: Kavaliersdelikt Korruption
  • ruprecht
    In der Promotionshölle
  • ruprecht
    Von Mikro zu Makro
  • ruprecht
    McKritik: „The Founder“
  • ruprecht
    Von der Skizze zum Objekt
  • ruprecht
    Die Kulissen der Diktatur
  • ruprecht
    Alla hopp: I like to move it, move it!
  • ruprecht
    Kashima Shin-Ryu Kenjutsu im Hoschulsport
  • ruprecht
    Freie Fahrt für Campus-Maut
  • ruprecht
    Birthday-Beats
  • ruprecht
    Kein Wickeltisch im Hörsaal
  • ruprecht
    Nicht die Welt retten
  • ruprecht
    Veruntreuung in der VS?
  • ruprecht
    Definitive Fakten
  • ruprecht
    Sprechen über den Tod
  • ruprecht
    Steingewordener Nationalsozialismus
  • ruprecht
    Anleitung zum Tagträumen
  • ruprecht
    Sweete Boys vong Musik her
  • ruprecht
    Von MILFs, Trump und armen Willis
  • ruprecht
    Kulturschock in der Schweiz
  • ruprecht
    Auf den Spuren der Generation Y
  • ruprecht
    Familien, Skandale und ganz viel Herzschmerz
  • ruprecht
    Flottes Spiel in einer absurden Zukunft
  • ruprecht
    „Hauptsache, es wird nicht noch schlimmer!“
  • ruprecht
    Weit weg – Abenteuer Weltreise
  • ruprecht
    Wird die Wissenschaft all unsere Probleme lösen können?
  • ruprecht
    Das Kino der Nazis
  • ruprecht
    „Bruderkampf“ oder „Kampf der Kulturen“?
  • ruprecht
    Morgen ist Frieden
  • ruprecht
    Nicht John Doe, sondern John Lennon
  • ruprecht
    Schluss mit Wonderwall
  • ruprecht
    Sex sells auch im Heidelberger Rathaus
  • ruprecht
    Das Vage, Vielfältige, Zerrissene
  • ruprecht
    Zwischen Traum und Wirklichkeit
  • ruprecht
    „Im Idealfall haben die Leute einen Trip“
  • ruprecht
    „Ich atme Europa, ich lebe Europa“
  • ruprecht
    Kommentar: Flugblatt gegen Selbstabschaffung der Bibliotheken
  • ruprecht
    Wie sieht die Lobbyarbeit der VS aus?
  • ruprecht
    Schluss mit der Zettelwirtschaft
  • ruprecht
    Sprechen über den Tod
  • ruprecht
    Hailight in der Bahnstadt
  • ruprecht
    Diagnose auf Latein
  • ruprecht
    Geschmacklos
  • ruprecht
    Neuling auf den Schienen
  • ruprecht
    Waschgang: Witzig
  • ruprecht
    Ein seelenloses Franchise
  • ruprecht
    Pimp my Heidelberg
  • ruprecht
    Saubere Energie – geht das?
  • ruprecht
    Luther im Hörsaal
  • ruprecht
    Fotografische Souvenirs aus aller Welt
  • ruprecht
    Alte Gesichter, neuer Job
  • ruprecht
    Big Data im Kopf
  • ruprecht
    Pro: Das Ende der Arbeit?
  • ruprecht
    Einigung mit der VG Wort
  • ruprecht
    Damenhaft verbunden
  • ruprecht
    Hometown Blues
  • ruprecht
    Quidditch auf Europaniveau
  • ruprecht
    Studenten vs. Bürger
  • ruprecht
    Politische Druckmessung
  • ruprecht
    Laden, Café – Kirche?
  • ruprecht
    Contra: Das Ende der Arbeit?
  • ruprecht
    Sprechstunde bei den Digital Natives
  • ruprecht
    Mehr WLAN für alle
  • ruprecht
    Die Kunst der langen Bank: Tipps gegen die Prokrastination
  • ruprecht
    Nachtleben gerettet
  • ruprecht
    Pubki: Per Mausklick zum Trainingspartner
  • ruprecht
    Obama gefällt das
  • ruprecht
    Ausgabe 165
  • ruprecht
    Im Zauber der Goldenen Zwanziger
  • ruprecht
    Knast als Kulisse
  • ruprecht
    Geschenkt
  • ruprecht
    Sprechen über den Tod mit Hebamme Sabine Hagen
  • ruprecht
    Porträt eines Selbstkritikers
  • ruprecht
    Sperrstunde bald früher?
  • ruprecht
    Viel Lärm um nichts?
  • ruprecht
    Endlich ankommen
  • ruprecht
    Ein Schluck Belletristik
  • ruprecht
    Der Kaiser und sein Kot
  • ruprecht
    Ein Tag auf Jodel
  • ruprecht
    Wenn Karten Leben retten
  • ruprecht
    Wild auf Rugby
  • ruprecht
    Kopieren statt studieren
  • ruprecht
    An die Kopierer, fertig, los
  • ruprecht
    Geschichte auf Abwegen
  • ruprecht
    Weihnachtszauber
  • ruprecht
    Gestochen scharf
  • ruprecht
    Museum of Broken Relationships
  • ruprecht
    Weihnachtsgeschenke: Mit Liebe improvisiert
  • ruprecht
    Unter die Arme gegriffen
  • ruprecht
    Dreimal fehlen, nichts passiert
  • ruprecht
    Aeham Ahmad: „Musik macht mich innerlich rein“
  • ruprecht
    Abgedreht in Heidelberg
  • ruprecht
    Pro: Stadtverbot für Airbnb
  • ruprecht
    An Englishman in New York
  • ruprecht
    Sicherheit in all ihren Facetten
  • ruprecht
    Contra: Stadtverbot für Airbnb
  • ruprecht
    In der Weihnachtsbäckerei: Ausstecherle
  • ruprecht
    Konflikt um Senatsbesetzung
  • ruprecht
    Die Rektorendämmerung
  • ruprecht
    Neues aus dem #StuRaHD
  • ruprecht
    Serienguide: Eyewitness
  • ruprecht
    Neues aus dem #StuRaHD
  • ruprecht
    Eine Agentur für Engel
  • ruprecht
    Absage an die AfD
  • ruprecht
    ExzellenzUnsinn im Romanischen Keller
  • ruprecht
    „Wieder Boden unter den Füßen“
  • ruprecht
    Bauer sucht Geld
  • ruprecht
    Ich bin dann mal weg – Alternativen zu BlaBlaCar
  • ruprecht
    Analog im Anderswo
  • ruprecht
    Weststadt-Story
  • ruprecht
    Zocken für die Wissenschaft
  • ruprecht
    Noam Chomsky in Heidelberg
  • ruprecht
    Sie machen den Weg frei
  • ruprecht
    „Ist das ein Männername?“
  • ruprecht
    Schummeln will gelernt sein!
  • ruprecht
    Ausgeschenkt: Unser Franzos’
  • ruprecht
    Wohin mit dem Teebeutel?
  • ruprecht
    Get Well Soon über Ärgernisse und Genügsamkeit
  • ruprecht
    Glosse: Wisch und Weg
  • ruprecht
    Teile des Doms neu datiert
  • ruprecht
    „Hasta la Vista, Baby“
  • ruprecht
    Aufarbeitung, Reue und Sehnsucht
  • ruprecht
    Speed-Dating für den Magen
  • ruprecht
    Contra: Streit um Studiengebühren
  • ruprecht
    Perspektivenwechsel
  • ruprecht
    Sprechen über den Tod … mit Anke Carver, Gründerin der „Spirit Hunters“
  • ruprecht
    Die zwei Seiten des Menschen
  • ruprecht
    Camping auf dem Campus?
  • ruprecht
    „Wir sind hier, wir sind laut“
  • ruprecht
    Alltag im Maximum
  • ruprecht
    Kommentar: Armutszeugnis
  • ruprecht
    Unabhängig und kostenlos
  • ruprecht
    Bürgernahes Bauen
  • ruprecht
    Zwischen Ballgefühl und Akrobatik
  • ruprecht
    Umzugspläne der VS
  • ruprecht
    Pro: Streit um Studiengebühren
  • ruprecht
    Bewusst Einkaufen
  • ruprecht
    Chomsky, weise mir den Weg
  • ruprecht
    A.D.A.M. – Über Menschen
  • ruprecht
    Beurlaubt
  • ruprecht
    Auszug der Initiativen
  • ruprecht
    Teamwork – das Buddy-Programm der Offenen Uni
  • ruprecht
    Kinder nicht erwünscht?
  • ruprecht
    Kein Herz für Europa?
  • ruprecht
    Pendler, Schönheiten und ihre Beobachter
  • ruprecht
    Der StuRa startet ins neue Semester
  • ruprecht
    Explosives Übernachtprojekt aus Beirut
  • ruprecht
    Ein Tatort zum Mitmachen
  • ruprecht
    Serienguide: Orphan Black
  • ruprecht
    Serienguide: The 100
  • ruprecht
    Serienguide: iZombie
  • ruprecht
    Heiße Rhythmen in schwitzigen Hallen
  • ruprecht
    Serienguide: Supernatural
  • ruprecht
    Serienguide: In The Flesh
  • ruprecht
    Der Herr der Zuckerringe
  • ruprecht
    Vom Internet lernt der Mensch, wer er wirklich ist
  • ruprecht
    Türkische Partneruni geschlossen
  • ruprecht
    Abschied vom StuRa
  • ruprecht
    Vorwürfe gegen StuRa-Vorsitz
  • ruprecht
    Nah am Wasser gebaut
  • ruprecht
    Bewusst anders
  • ruprecht
    Writing Center vor dem Aus
  • ruprecht
    Die Invasion der Elefantenhose
  • ruprecht
    Wahlbeteiligung verdoppelt
  • ruprecht
    Mitreden, aber nicht mitentscheiden
  • ruprecht
    Niere zu verkaufen
  • ruprecht
    Kein Herz für die EU?
  • ruprecht
    Kunst on Tour
  • ruprecht
    Schwere Themen, leichte Wörter
  • ruprecht
    Moleküle mit Potential
  • ruprecht
    Kommentar: Rettung nötig
  • ruprecht
    Die Kantianerin
  • ruprecht
    „Ich mache ja keine Diktatur“
  • ruprecht
    Picknick, Schwimmbad, Eiscafés – Sommer in Heidelberg
  • ruprecht
    Stand-up-Yoga im Hochschulsport
  • ruprecht
    Forever alone?
  • ruprecht
    „Vielheit als Beschränkung“
  • ruprecht
    Angst vor dem Scheitern
  • ruprecht
    Hollywood in Heidelberg
  • ruprecht
    Auslandsaufenthalte planen
  • ruprecht
    „Jetzt schwitze ich aber doch“
  • ruprecht
    Als in Heidelberg die Mauer fiel
  • ruprecht
    Contra: Streit um Fachschaftslisten
  • ruprecht
    Kunst versus Vandalismus: Darf Urban Art alles?
  • ruprecht
    Ausgabe 163
  • ruprecht
    Pro: Streit um Fachschaftslisten
  • ruprecht
    Warum leuchtet das Schloss?
  • ruprecht
    Erinnern an den Aufstand
  • ruprecht
    Alter im Fokus der Forschung
  • ruprecht
    Hacking in Heidelberg
  • ruprecht
    Die nördlichste Stadt Italiens
  • ruprecht
    Alte Pfade in neuem Stadtplan
  • ruprecht
    Kommentar: Verfehlte Vorgabe
  • ruprecht
    Von Bohnenkaffee bis Couscous
  • ruprecht
    In diesem Sinne: Danke, England!
  • ruprecht
    Willst Du dich verappen?
  • ruprecht
    „Studium ist kein Wettlauf“
  • ruprecht
    Ein Sofakonzert unterm Kronleuchter
  • ruprecht
    Passion für nachhaltige Kunst
  • ruprecht
    Sind die Fachschaften neutral genug?
  • ruprecht
    Umwälzungen im StuRa
  • ruprecht
    Wandern im Wald
  • ruprecht
    Der Science-Fiction-Faktor
  • ruprecht
    Der Schwarze stirbt zuerst
  • ruprecht
    Kaffee und mehr, wo Kaffee genügt
  • ruprecht
    Ein Fest für die Vielfalt
  • ruprecht
    CONTRA: Exzellenzinitiative fortsetzen?
  • ruprecht
    Studieren ohne Uni
  • ruprecht
    Geplant ungeplant
  • ruprecht
    Unterschiedliche Schlägertypen
  • ruprecht
    Länger als erlaubt
  • ruprecht
    Reise zur Heilung
  • ruprecht
    Alles nur gefälscht?
  • ruprecht
    Der Alkohol und ich
  • ruprecht
    Kommentar: Querschläger
  • ruprecht
    Ausgabe 162
  • ruprecht
    Entblättert
  • ruprecht
    Alte Geschichten
  • ruprecht
    Psychogramm der Liebe
  • ruprecht
    Mathematische Mittagshappen
  • ruprecht
    Im Frühtau zu Berge
  • ruprecht
    Socken für die Balkanroute
  • ruprecht
    Alles beim Alten?
  • ruprecht
    Wie die Mutter, so das Kind
  • ruprecht
    Was Geld ändert
  • ruprecht
    Semper Apertus?
  • ruprecht
    Wahlkampf in 140 Zeichen
  • ruprecht
    Den Teufelskreis durchbrechen
  • ruprecht
    An die Urnen, fertig, los!
  • ruprecht
    CONTRA: Zu Fuß ab 1,1 Promille?
  • ruprecht
    PRO: Zu Fuß ab 1,1 Promille?
  • ruprecht
    Brötchen am Fließband
  • ruprecht
    Thema: Wissensgesellschaft
  • ruprecht
    Kultur kostet
  • ruprecht
    Kunst unter Zeitdruck
  • ruprecht
    Die Perspektive wechseln
  • ruprecht
    Zu Tisch mit Gemälden
  • ruprecht
    Mit Menschlichkeit
  • ruprecht
    Der Fahrradmann
  • ruprecht
    Wissen zum Schieben
  • ruprecht
    Die Faszination des Geschreis
  • ruprecht
    „Es ist halt gerade einfach scheiße.“
  • ruprecht
    Ab in den Süden
  • ruprecht
    Für den Kriegsfall
  • ruprecht
    Der Trieb des Politischen
  • ruprecht
    Narratologie der Langeweile
  • ruprecht
    Gemeinsamer Antrieb
  • ruprecht
    Auf den veganen Geschmack gekommen
  • ruprecht
    Heiliger Zorn
  • ruprecht
    Demnächst Bike?
  • ruprecht
    Ausgabe 161
  • ruprecht
    Im Rausch des Pedals
  • ruprecht
    Musik von Sturm und Drang
  • ruprecht
    Das 11. Gebot
  • ruprecht
    Erdung eines Virtuosen
  • ruprecht
    Der fliegende Holländer – Lust auf Krieg
  • ruprecht
    Ersti Sommersemester 2016
  • ruprecht
    Der Rausch der Macht
  • ruprecht
    Ans Geld muss man glauben
  • ruprecht
    Wahlen: Was wollen die Grünen?
  • ruprecht
    Wahlen: Was will die SPD?
  • ruprecht
    Wahlen: Was will die LINKE?
  • ruprecht
    Wahlen: Was will die PARTEI?
  • ruprecht
    Wahlen: Was will ALFA?
  • ruprecht
    Mao, der ewig romantische Rebell?
  • ruprecht
    VS Heidelberg kritisiert Zensur
  • ruprecht
    Viele Fragen, vage Antworten
  • ruprecht
    Lieder fürs Dunkle
  • ruprecht
    David ohne Goliath
  • ruprecht
    Längst überfällige Geschichtsnachhilfe
  • ruprecht
    Stück für Stück
  • ruprecht
    Vertrautes Blutbad als Western-Kammerspiel
  • ruprecht
    Politische Taktik
  • ruprecht
    „The Revenant“ – Gebt dem armen Jungen endlich seinen Oscar
  • ruprecht
    Wohnort: überall
  • ruprecht
    Kein Kindertheater
  • ruprecht
    CONTRA – Hitler, Terror, Ficken
  • ruprecht
    PRO – Hitler, Terror, Ficken
  • ruprecht
    Hektik und Oasen der Ruhe
  • ruprecht
    Antrainierte Scheuklappen
  • ruprecht
    Zimmer frei
  • ruprecht
    Krank durch eine Stadt
  • ruprecht
    Studieren: lebenslänglich
  • ruprecht
    Praktisch
  • ruprecht
    Klein, aber wirksam
  • ruprecht
    Stirb, Wecker!
  • ruprecht
    Bunt bestickte Lebensgeschichten
  • ruprecht
    Kein Geld, viel Ruhm
  • ruprecht
    Wo Sissi wohnte
  • ruprecht
    Tanzt, tanzt!
  • ruprecht
    Einmal Fleisch, bitte
  • ruprecht
    Sprechen über den Tod
  • ruprecht
    Alles Affen
  • ruprecht
    Ausgebildet
  • ruprecht
    Göttinnen der Kunst
  • ruprecht
    Regionalkitsch im Ersten
  • ruprecht
    Forschung oder Datenschutz?
  • ruprecht
    Heilung durch Musik
  • ruprecht
    Ist der Füller leergeschrieben?
  • ruprecht
    Siebte Periode endlich vollständig
  • ruprecht
    Wenn der Elfenbeinturm brennt
  • ruprecht
    Tourismus um jeden Preis
  • ruprecht
    „Maximale Eskalation“
  • ruprecht
    Freiheit, Gleichheit, Brüderlichkeit
  • ruprecht
    Ausgabe 160
  • ruprecht
    Ungedruckt
  • ruprecht
    Probleme am Verhandlungstisch
  • ruprecht
    Alles unter einem Dach
  • ruprecht
    Leiden auf oberflächlich
  • ruprecht
    Vielschichtige Abstraktion
  • ruprecht
    Brennende Kabel und tote Mäuse
  • ruprecht
    Bekannte Gesichter – Bild fehlt
  • ruprecht
    Jugend, Muttererde und akustisch schweben
  • ruprecht
    Das Erwachen des Déjà-vus
  • ruprecht
    Ich fühl’ mich freier
  • ruprecht
    Klage gegen die Verfasste Studierendenschaft
  • ruprecht
    Das menschliche Ungeziefer
  • ruprecht
    Klicks, Klicks, Klicks
  • ruprecht
    Besetzen für bessere Bildung
  • ruprecht
    Der Wunsch nach einer Erklärung ist ein ziemlich menschliches Bedürfnis
  • ruprecht
    Die Odyssee einer Therapie
  • ruprecht
    Lebensraum im Wandel
  • ruprecht
    Ausgetrunken
  • ruprecht
    Pro: Weihnachten nur mit Jesus?
  • ruprecht
    Ausprobiert
  • ruprecht
    Contra: Weihnachten nur mit Jesus?
  • ruprecht
    Kein Alkohol ist auch keine Lösung
  • ruprecht
    Morgens wird gecheckt, ob noch alle leben
  • ruprecht
    Wer ist eigentlich Tigon?
  • ruprecht
    Das Ende der Meinungsvielfalt
  • ruprecht
    Heidelbergs Hürden
  • ruprecht
    Betreten auf eigene Gefahr
  • ruprecht
    Alle Jahre wieder
  • ruprecht
    Mut zur Meinung
  • ruprecht
    Keine Konkurrenz
  • ruprecht
    Ungelöst VII – Haben deutsche Unternehmen Menschenrechtsverantwortung?
  • ruprecht
    Poesie der kleinen Dinge
  • ruprecht
    Hoch soll er leben!
  • ruprecht
    Ausgabe 159
  • ruprecht
    Theaterstück der Anglisten: „How It Was“
  • ruprecht
    Was tun für Flüchtlinge?
  • ruprecht
    Die Geister der Vergangenheit
  • ruprecht
    Sie kamen, sangen und machten Amore
  • ruprecht
    Spiral Space II – acoustic luminescence
  • ruprecht
    Wir hungern nach Sicherheit
  • ruprecht
    In Licht und Nebel
  • ruprecht
    Cecile McLorin Salvant – die nächste große Jazzsängerin
  • ruprecht
    Die Geschichtenerzähler
  • ruprecht
    Krieg, Blut und ein Geisteskranker
  • ruprecht
    Nachruf auf zwei Türme
  • ruprecht
    Abgeliefert
  • ruprecht
    Rassismus statt Katzenbabys
  • ruprecht
    Vorbild Heidelberg
  • ruprecht
    Klein aber fein
  • ruprecht
    Der späte Kampf
  • ruprecht
    Warten auf den Alltag
  • ruprecht
    Neue Doppelspitze im StuRa
  • ruprecht
    Ungelöste Fragen der Wissenschaft
  • ruprecht
    Ein Stück Sicherheit
  • ruprecht
    Herz in Heidelberg verloren
  • ruprecht
    Mit der Chipkarte zum Arzt
  • ruprecht
    Contra: Raus aus dem Bahnhof?
  • ruprecht
    Als Heidelbergers Synagogen brannten
  • ruprecht
    Mit bunten Drinks nach Boston
  • ruprecht
    Pro: Raus aus dem Bahnhof?
  • ruprecht
    Gegen geistige Isolierung
  • ruprecht
    Umverteilt und weggekürzt
  • ruprecht
    In der Not vereint
  • ruprecht
    Uni schafft Studienangebot für Flüchtlinge
  • ruprecht
    Hochschulen unter der Lupe
  • ruprecht
    Das Halbwissen muss aufhören
  • ruprecht
    Überstürzter Aktionismus
  • ruprecht
    Gefälscht?
  • ruprecht
    Klischee oder Kunst?
  • ruprecht
    Das Urteil
  • ruprecht
    Liebe bis aufs Blut
  • ruprecht
    Fünf Hüte machen Musik
  • ruprecht
    Gebührend
  • ruprecht
    Unabhängige Rechtshilfe
  • ruprecht
    Musik ohne Grenzen
  • ruprecht
    Prekäre Felder
  • ruprecht
    Teilen statt kaufen
  • ruprecht
    Die halbe Welt ist auf der Flucht
  • ruprecht
    Willkommen in der Krise
  • ruprecht
    Ausgabe 158
  • ruprecht
    Blaue Stunde, Funkeln und warm
  • ruprecht
    Futter für die Ohren
  • ruprecht
    All about that bass
  • ruprecht
    Im Auftrag Ihrer Majestät
  • ruprecht
    Theater gegen Stumpfsinn
  • ruprecht
    Vorsitzender der Verfassten Studierendenschaft tritt zurück
  • ruprecht
    Und täglich grüßt die Feuerwehr
  • ruprecht
    Stars von morgen
  • ruprecht
    Grußwort zum Tag der Bibliotheken
  • ruprecht
    Vorhang auf für Zivilcourage
  • ruprecht
    Tocotronic besiegt die Vernunft
  • ruprecht
    So feiert Ihr ins neue Semester
  • ruprecht
    Versteckt, verkleidet, verheiratet
  • ruprecht
    Schnüffeln ohne Grund – Heidelberger Spitzeleinsatz war offenbar rechtswidrig
  • ruprecht
    Jagd nach dem Syndikat
  • ruprecht
    Hip Hop zum Nachdenken
  • ruprecht
    Ein Schauspieler an der Macht
  • ruprecht
    Umfrage: Sollte Cannabis legalisiert werden?
  • ruprecht
    Tod eines Bankers
  • ruprecht
    Schemen im Zwielicht
  • ruprecht
    Die geheime Hauptstadt Deutschlands
  • ruprecht
    Heute schon gejodelt?
  • ruprecht
    Die Vertrauensfrage
  • ruprecht
    Sprechen über den Tod
  • ruprecht
    Pappmaché aus Worten
  • ruprecht
    Nutzlos
  • ruprecht
    Dinos zum Anfassen
  • ruprecht
    Bücher für die Tonne
  • ruprecht
    Ritt in eine vergangene Zeit
  • ruprecht
    Gehirn verknotet, Fall gelöst!
  • ruprecht
    Klub der Kontroversen
  • ruprecht
    Im Schatten des Rotlichts
  • ruprecht
    „In Gaza kann man nicht leben“
  • ruprecht
    Schön aber elitär
  • ruprecht
    „Noch nie nicht geschrieben“
  • ruprecht
    Vier Männer für Mark
  • ruprecht
    Scheinheilig
  • ruprecht
    Heißer Tanz mit Daten
  • ruprecht
    Die Verzauberung der Welt
  • ruprecht
    Ein schmales Stück vom Kuchen
  • ruprecht
    Nicht in die Tüte
  • ruprecht
    Topf und Deckel
  • ruprecht
    Frisch gewählt
  • ruprecht
    Krieg der Studenten
  • ruprecht
    Vogelfrei
  • ruprecht
    Pro: Eine Toilette für alle?
  • ruprecht
    „Verwaltung ist viel wert“
  • ruprecht
    Die Hüter der Zeit
  • ruprecht
    Das Glück der Feldarbeit
  • ruprecht
    Demo auf zwei Rädern
  • ruprecht
    Eine Frage des Prinzips
  • ruprecht
    Ungelöste Fragen
  • ruprecht
    Tänzerischer Kampf
  • ruprecht
    Blutgruppe: Alkohol
  • ruprecht
    Das Tor zur Hölle schließt
  • ruprecht
    Ausgabe 157
  • ruprecht
    Unverpacktes
  • ruprecht
    Es war die Nachtigall…
  • ruprecht
    Ein leeres Grab für Tote, die nicht kamen
  • ruprecht
    In 140 Minuten durch Berlin
  • ruprecht
    Genug Kabale und zu viel Liebe
  • ruprecht
    Kolumbus und die Mondlandung
  • ruprecht
    ReJoyce: Bloomsday im Anglistischen Seminar
  • ruprecht
    Smartphone, Tablet und Co. – FSK 12?
  • ruprecht
    „Viva Verdi!“ – Wer ist Verdi?
  • ruprecht
    „Eine Mehrheit zu gewinnen ist schwierig“
  • ruprecht
    Hochschulwahlen: Wer entscheidet was in welchem Gremium?
  • ruprecht
    Blaue Okkupanten
  • ruprecht
    Mathematikon
  • ruprecht
    „Eine wahrhafte Entweihung“
  • ruprecht
    Neuer Lehrstuhl für Kosmochemie
  • ruprecht
    Nur Verlierer
  • ruprecht
    Ausgeschenkt: Pizza trifft Smoothie
  • ruprecht
    Geregeltes Kiffen
  • ruprecht
    Sicher oder schön
  • ruprecht
    Digitales Taschenmesser
  • ruprecht
    Überraschung in Warschau
  • ruprecht
    Polen am Mittagstisch
  • ruprecht
    Ziel verfehlt
  • ruprecht
    Liebe im Straßenverkehr
  • ruprecht
    Eine Uni empört sich
  • ruprecht
    Krokodile statt Pferde
  • ruprecht
    Uni für alle
  • ruprecht
    Die Macht der Schattenkämpfer
  • ruprecht
    Cineastisch, verträumt, aufgebohrt
  • ruprecht
    „Wir lachen viel zusammen“
  • ruprecht
    Geht wählen!
  • ruprecht
    Genie und Wahnsinn
  • ruprecht
    Die Listen stellen sich vor
  • ruprecht
    Jenseits der Tagespolitik
  • ruprecht
    Pioniere im Brennpunkt
  • ruprecht
    Denkfaul
  • ruprecht
    Sprechen über den Tod … mit Christiane Rabe
  • ruprecht
    In den Mühlen des Gebets
  • ruprecht
    Kein Ende in Sicht
  • ruprecht
    Woraus besteht das Universum?
  • ruprecht
    Contra: Rauchfrei feiern?
  • ruprecht
    Klappe zu, Affe tot!
  • ruprecht
    Ausgabe 156
  • ruprecht
    Die Wüste bebt
  • ruprecht
    Ausgeschenkt: Sympathisch simpel
  • ruprecht
    Auf der Suche nach der eigenen Stimme
  • ruprecht
    Hedi und die Angst
  • ruprecht
    Umfrage: Kann Inklusion gelingen?
  • ruprecht
    Was wissen wir noch nicht?
  • ruprecht
    „Das war mein 8. Mai“
  • ruprecht
    Schneller lesen – mit einer App?
  • ruprecht
    Für Tiefflieger und Teamsportler
  • ruprecht
    Wohnst Du noch oder lebst Du schon?
  • ruprecht
    Maßgeschneiderte Nachhilfe
  • ruprecht
    Nächste Station
  • ruprecht
    Dialog über bessere Lehre
  • ruprecht
    Erasmus mit Fahrrad und Freibier
  • ruprecht
    Weniger psychische Störungen
  • ruprecht
    Hallo 02
  • ruprecht
    Nie mehr radlos
  • ruprecht
    Ein Stammtisch für den Feminismus
  • ruprecht
    „Guten Morgen, Revoluzzer!“
  • ruprecht
    Die verschonte Stadt
  • ruprecht
    Leben unter der Lupe
  • ruprecht
    In Gesellschaft von Keimlingen
  • ruprecht
    Chronist der Stadt
  • ruprecht
    Stücke vom Wissenschaftskuchen
  • ruprecht
    Spieltrieb
  • ruprecht
    Sprechen über den Tod… mit Ziyi Huang
  • ruprecht
    Er trommelt nicht mehr
  • ruprecht
    Die Deutschen kamen nicht zurück
  • ruprecht
    Reibungslos
  • ruprecht
    Land der Gegensätze
  • ruprecht
    Stadt der toten Buchläden
  • ruprecht
    Studenten ohne Ehre und Elan
  • ruprecht
    „Sie möchte nur die Welt retten“
  • ruprecht
    Surrealismus in der Schuheinlegesohle
  • ruprecht
    Geld für Krawalle?
  • ruprecht
    Außenposten in Japan
  • ruprecht
    Kleingeld für Nachwuchswissenschaftler
  • ruprecht
    Wir sind die Elite
  • ruprecht
    Contra: Kann Inklusion gelingen?
  • ruprecht
    Pro: Kann Inklusion gelingen?
  • ruprecht
    Ausgabe 155
  • ruprecht
    Blick durch fremde Augen
  • ruprecht
    Global Action Day
  • ruprecht
    Global Marijuana March 2015 ­in Heidelberg
  • ruprecht
    Enigmatisches Tastenwunder
  • ruprecht
    Callcenter Übermorgen
  • ruprecht
    Brillant wie kein Zweiter
  • ruprecht
    Abschiebung durch die Hintertür
  • ruprecht
    Klassik zum Feierabend
  • ruprecht
    Ersti Sommesemester 2015
  • ruprecht
    Filmemachen mit der Stimmgabel
  • ruprecht
    „Durchaus phantastisch und leidenschaftlich“
  • ruprecht
    „Ich möchte Astronaut werden“
  • ruprecht
    So gut wie selten zuvor
  • ruprecht
    Erwecken und Zerstören
  • ruprecht
    Nächtliche Blockade verhindert Abschiebung von Asylbewerbern
  • ruprecht
    „Ich mache Dinge nur, wenn ich das Gefühl habe, dass ich mein Leben nicht in Gefahr bringe“
  • ruprecht
    Zweite Nogida-Kundgebung auf dem Heidelberger Uniplatz
  • ruprecht
    Umfrage: Brauchen wir TTIP?
  • ruprecht
    Zeit zu verschnaufen
  • ruprecht
    Unter Glückskindern
  • ruprecht
    Geschichte. Seit 1889/90
  • ruprecht
    Flucht aus dem Mikrokosmos
  • ruprecht
    Heidelberg unter der Erde (III): Stadt, Tunnel, Fluss
  • ruprecht
    Richtig reagieren bei Gefahr
  • ruprecht
    Brutale Debütantin
  • ruprecht
    Bankrott für das Studium
  • ruprecht
    Das verlängerte Auge
  • ruprecht
    Ein Meilenstein?
  • ruprecht
    Ohne Eltern in die Universität
  • ruprecht
    Unterwegs als Muzungu in Burundi
  • ruprecht
    Dem lebendigen Geist
  • ruprecht
    Zehntausend gegen Fremdenfeindlichkeit
  • ruprecht
    Studentische Dekadenz
  • ruprecht
    Die Anatomie der Tigerente
  • ruprecht
    Contra: Brauchen wir TTIP?
  • ruprecht
    Sprechen über den Tod… mit Rosemarie Achenbach
  • ruprecht
    Im Tempel der Pflanzenjäger
  • ruprecht
    Feiern auf Zimmerlautstärke
  • ruprecht
    Im Bann des Terrors
  • ruprecht
    Wandel für umme
  • ruprecht
    „It’s work in progress“
  • ruprecht
    Platz an der Sonne
  • ruprecht
    Pro: Brauchen wir TTIP?
  • ruprecht
    „Besser den Mund halten …“
  • ruprecht
    Stimmige Kontraste
  • ruprecht
    Zur Inflation eines unschuldigen Wortes
  • ruprecht
    Machtlose Ministerien?
  • ruprecht
    Umverteilt und aufgestockt
  • ruprecht
    Ballermann-Zustände kein SWR-Konstrukt
  • ruprecht
    Spiel auf Zeit
  • ruprecht
    Ausgabe 154
  • ruprecht
    Mildes Klima dank stabiler Ozeanzirkulation
  • ruprecht
    Kunst ist Ansichtssache
  • ruprecht
    11.500 sagen in Mannheim ja!
  • ruprecht
    Chinas dunkle Seite
  • ruprecht
    Gnadenlos
  • ruprecht
    What makes up the Universe?
  • ruprecht
    Wohin mit dem Konferenzzentrum?
  • ruprecht
    Mangelnde Informationen
  • ruprecht
    Ben Howard: „I Forget Where We Were“
  • ruprecht
    Von der Uni ans Theater
  • ruprecht
    Schuften für schwedische Schweine
  • ruprecht
    Auf der Suche nach Streit
  • ruprecht
    Tommy Emanuel – Der Gitarrentrommler
  • ruprecht
    Sprechen über den Tod…
  • ruprecht
    Weltmeister in Biologie
  • ruprecht
    Privatsphäre war gestern
  • ruprecht
    Heidelberg unter der Erde (II): Vergessener Schaufensterbummel
  • ruprecht
    Markthalle öffnet Türen
  • ruprecht
    Umbau oder Umzug
  • ruprecht
    Zur Abwechslung que(e)rgedacht
  • ruprecht
    Rugby in der dritten Dimension
  • ruprecht
    Keine Angst vor blauen Flecken
  • ruprecht
    Private Spenden spielen auch für die Universität Heidelberg eine große Rolle. Wir stellen drei Mäzene vor:
  • ruprecht
    Hochschulfinanzierung im Überblick
  • ruprecht
    Keine Luft für Studierende
  • ruprecht
    Fragwürdige Spende
  • ruprecht
    Pro: Recht auf Sterben?
  • ruprecht
    Contra: Recht auf Sterben?
  • ruprecht
    24. Türchen: Der Weihnachtsmarkt
  • ruprecht
    Versammlung für die Freiheit
  • ruprecht
    23. Türchen: Herbergslos am Heiligen Abend
  • ruprecht
    22. Türchen: himmlischer Apfelcrumble und Bratapfel
  • ruprecht
    21. Türchen: „Eure Generation trägt samtene Fesseln“
  • ruprecht
    20. Türchen: Bayrische Schneemaß
  • ruprecht
    Ausgeschenkt: Das Haus vom Nikolaus
  • ruprecht
    19. Türchen: Liegen lernen
  • ruprecht
    18. Türchen: „Der Hobbit – Die Schlacht der fünf Heere“
  • ruprecht
    Sicherheit auf dem Campus
  • ruprecht
    17. Türchen: Auf Streife durch die Untere Straße
  • ruprecht
    Ein neuer Anlauf
  • ruprecht
    16. Türchen: Erikas Buttergebäck
  • ruprecht
    15. Türchen: Mythos Plöck
  • ruprecht
    14. Türchen: „Die Tribute von Panem“
  • ruprecht
    Was bin ich wert?
  • ruprecht
    13. Türchen: Studieren in Heidelberg
  • ruprecht
    Nicht unter 8,50
  • ruprecht
    12. Türchen: „Magic in the Moonlight“
  • ruprecht
    11. Türchen: Dinge, die ein Student in Heidelberg getan haben sollte
  • ruprecht
    „Abends ist es wie am Ballermann“
  • ruprecht
    10. Türchen: Himbeeren gegen die Winterdepression
  • ruprecht
    9. Türchen: Aus der Enge des Neckartals
  • ruprecht
    Ausgabe 153
  • ruprecht
    8. Türchen: Mandelberge
  • ruprecht
    7. Türchen: Alles für die Wissenschaft
  • ruprecht
    6. Türchen: Gewinnspiel
  • ruprecht
    5. Türchen: Afrika im Aufwind
  • ruprecht
    4. Türchen: Bela B in Heidelberg
  • ruprecht
    3. Türchen: Halblauter Jubel
  • ruprecht
    2. Türchen: Winterpunsch
  • ruprecht
    Der neue StuRa ist gewählt
  • ruprecht
    1. Türchen: Aufruf zur Gründung einer Studizeitung, 1987
  • ruprecht
    Literaturstadt Heidelberg
  • ruprecht
    „Armut behindert Migration“
  • ruprecht
    Republikflucht in die Kurpfalz
  • ruprecht
    Leben und lieben in San Francisco
  • ruprecht
    „Neutrale Wahlbeobachter gab es nicht“
  • ruprecht
    Skandinavischer Jazz
  • ruprecht
    Der wissenschaftliche Rebell
  • ruprecht
    Heidelberg unter der Erde (I): Auf der Suche nach dem Altstadt-Tunnel
  • ruprecht
    Vom Tellerwäscher zum Autor
  • ruprecht
    „Finnlandisieren wäre die Lösung“
  • ruprecht
    Hüllenlos
  • ruprecht
    Im Sinne des Erfinders?
  • ruprecht
    Ganz nah dran
  • ruprecht
    Scharfsinniger Geist
  • ruprecht
    Die Kunst des Erinnerns
  • ruprecht
    StuRa-Wahl 2014 – Die Listen stellen sich vor
  • ruprecht
    Die Mietpreisbremse kommt
  • ruprecht
    Paragraphen-Posse ums Karl
  • ruprecht
    Vernetze Vorlesung
  • ruprecht
    Ehekrise
  • ruprecht
    Popkultur erleben
  • ruprecht
    Die Logik der Preise
  • ruprecht
    Ausgeschenkt: Kaffee und Kunst im Doppelpack
  • ruprecht
    Blick in den Abgrund
  • ruprecht
    Geld fürs Ehrenamt
  • ruprecht
    URZ wird umstrukturiert
  • ruprecht
    Protest im Großstadt-Dschungel
  • ruprecht
    Gesichter der Empathie
  • ruprecht
    Ohne Motivation
  • ruprecht
    In der Warteschleife
  • ruprecht
    Endlich grüne Zahlen schreiben
  • ruprecht
    Zum Pumpen in den Park
  • ruprecht
    Contra: Brauchen wir Selfies?
  • ruprecht
    Pro: Brauchen wir Selfies?
  • ruprecht
    Mit kleinen Schritten
  • ruprecht
    Perspektive statt Solidarität
  • ruprecht
    Mensaklassiker werden teurer
  • ruprecht
    „Ich bin kein Intellektueller“
  • ruprecht
    Ausgabe 152
  • ruprecht
    Türkisch-Kurse am Zentralen Sprachlabor
  • ruprecht
    Feiern im Taubertal
  • ruprecht
    Russland sucht seinen Weg
  • ruprecht
    Die Last der Tradition
  • ruprecht
    Erfrischung im Jungbrunnen
  • ruprecht
    Der junge Mann und das Meer
  • ruprecht
    Gewalt und Sehnsüchte
  • ruprecht
    Konversion mal anders
  • ruprecht
    Mehr Geld für Studenten
  • ruprecht
    Ein echter Ichthyosaurier-Friedhof
  • ruprecht
    Der versteckte Rassismus
  • ruprecht
    „Ein großes Abenteuer“
  • ruprecht
    Halblauter Jubel
  • ruprecht
    Ausgeschenkt: Zwischen Kult und Kippe
  • ruprecht
    Romantik to go
  • ruprecht
    Kunterbunt weiterfeiern
  • ruprecht
    Recht und billig
  • ruprecht
    Wenn sonst keiner da ist
  • ruprecht
    Wettlauf ums Geld
  • ruprecht
    Halle geht auf die Straße
  • ruprecht
    Nichts gelernt?
  • ruprecht
    Contra: Studium nur ohne Schleier?
  • ruprecht
    Pro: Studium nur ohne Schleier?
  • ruprecht
    Mythos Plöck
  • ruprecht
    Das wird man wohl noch sagen dürfen!
  • ruprecht
    Keine Wahl
  • ruprecht
    Ausgabe 151
  • ruprecht
    Die Qual der Wahl
  • ruprecht
    Völkerfreundschaft auf Russisch
  • ruprecht
    Journalismus zum Mitmachen
  • ruprecht
    Bücher auf Reise um die Welt
  • ruprecht
    Das wohltemperierte Alphabet
  • ruprecht
    Synthetische Sünden
  • ruprecht
    Getanzte Selbstfindung
  • ruprecht
    Die Macht der Mafia
  • ruprecht
    Orwells Albtraum
  • ruprecht
    Zwischen Zuschauen und Mitspielen
  • ruprecht
    Abseits der Gesellschaft
  • ruprecht
    Medizinstudenten sezieren virtuelle Körper
  • ruprecht
    Ausgeschenkt: Nostalgie im Pannonica
  • ruprecht
    Grüne Küche
  • ruprecht
    Nie wieder Putzplan
  • ruprecht
    Höher, schneller, besser
  • ruprecht
    Von der Idee zum Unternehmen
  • ruprecht
    Die Ökonomik in der Krise
  • ruprecht
    Wenig Bafög für viel Geld
  • ruprecht
    Ein ambitionierter Plan
  • ruprecht
    Der Wettlauf ums Gehirn
  • ruprecht
    Hochschulen in Not
  • ruprecht
    Umfrage: Studieren auf Englisch?
  • ruprecht
    Contra: Studieren auf Englisch
  • ruprecht
    Pro: Studieren auf Englisch?
  • ruprecht
    „Wir fahren 280 gegen eine Wand“
  • ruprecht
    Fotowettbewerb: Studieren in Heidelberg
  • ruprecht
    Wo lohnt sich Public Viewing?
  • ruprecht
    Ausgabe 150
  • ruprecht
    Liebesblödigkeit, Exilschriftsteller und romantische Nächte im Zoo
  • ruprecht
    Afrika im Aufwind
  • ruprecht
    „Den Welträtseln näher kommen“
  • ruprecht
    Autobiographie in Wort und Ton?
  • ruprecht
    „Zieh‘ den Kopf aus der Schlinge einer scheinbar heilen Welt“
  • ruprecht
    Die Geburt der Sterne
  • ruprecht
    Der Geist von Heidelberg
  • ruprecht
    Studenten denken quer
  • ruprecht
    Der Campusführer
  • ruprecht
    V wie Videos – oder Vidipedia
  • ruprecht
    Wo ist Johanna Wanka?
  • ruprecht
    „Niemand hat die Absicht, ein Plakat anzukleben“
  • ruprecht
    „Der Prophet Mohammed muss wieder ein Mensch sein dürfen“
  • ruprecht
    Islamkritik – Keine Phobie
  • ruprecht
    Contra: Sollen Hochschulen an Rankings teilnehmen?
  • ruprecht
    Pro: Sollen Hochschulen an Rankings teilnehmen?
  • ruprecht
    Warum sollen Studenten Sie wählen?
  • ruprecht
    Der Schmutz der Exzellenz
  • ruprecht
    Chancen einer Literaturstadt
  • ruprecht
    Aus der Enge des Neckartals
  • ruprecht
    Habemus Ticket
  • ruprecht
    Stadt in Flammen
  • ruprecht
    Festival Latino in Heidelberg und Mannheim
  • ruprecht
    Umfrage: Das neue Semesterticket – dafür stimmen oder ablehnen?
  • ruprecht
    Wahlhelfer gesucht
  • ruprecht
    Neuenheim und Handschuhsheim: Tradition und Moderne
  • ruprecht
    Egotronic – Die Natur ist dein Feind
  • ruprecht
    Urabstimmung zum Semsterticket
  • ruprecht
    Komm zum ruprecht
  • ruprecht
    Kirchheim: Die Ländlich-Schöne
  • ruprecht
    Das Bundesjugendballett auf dem Heidelberger Frühling
  • ruprecht
    Dillon im Karlstorbahnhof – ein Spiel in Licht und Schatten
  • ruprecht
    Metronomy – Love Letters
  • ruprecht
    Ein alter Schwede auf der Flucht
  • ruprecht
    Südstadt und Rohrbach: Zwischen Stadt und Waldrand
  • ruprecht
    Bergheim und Weststadt: Urbaner Flair im Wohngebiet
  • ruprecht
    Judith Holofernes – Ein leichtes Schwert
  • ruprecht
    Maximo Park- Too Much Information
  • ruprecht
    Eine Stadt im Tanzfieber
  • ruprecht
    Die Altstadt: Das Herz Heidelbergs
  • ruprecht
    Das Leben ist eine Mohrrübe
  • ruprecht
    The Busters rock this town tonight
  • ruprecht
    Das Streben nach dem Bunt
  • ruprecht
    Leibniz-Preis geht nach Heidelberg
  • ruprecht
    Fachwissen für alle
  • ruprecht
    Durchtrieben gut
  • ruprecht
    Contra: Das Internet als Bildungsrisiko?
  • ruprecht
    Pro: Das Internet als Bildungsrisiko?
  • ruprecht
    „Gegen das tägliche Vergessen“
  • ruprecht
    Amerika im Traum gefangen
  • ruprecht
    Ausgeschenkt: Alles unter einem Dach
  • ruprecht
    Die Internetnutzung will gelernt sein!
  • ruprecht
    Leben und leben lassen
  • ruprecht
    Umfrage: Ist das Internet ein Bildungsrisiko?
  • ruprecht
    Schöne hässliche Welt
  • ruprecht
    Sorgenkind Semesterticket
  • ruprecht
    Eine erste Bilanz
  • ruprecht
    Attraktive Illusionen
  • ruprecht
    Umstrittene Eingabe
  • ruprecht
    Fotostrecke: Konversionsflächen in Heidelberg
  • ruprecht
    „Es wird bezahlbarer Wohnraum entstehen“
  • ruprecht
    Zitadelle des Aufruhrs
  • ruprecht
    Heidelberg unterm Hakenkreuz
  • ruprecht
    Die Anfänge Heidelbergs
  • ruprecht
    US-Flächen im Wandel
  • ruprecht
    Stimmt ab: Über den hässlichsten Ort in Heidelberg
  • ruprecht
    Die neue Ästhetik
  • ruprecht
    Fotostrecke: Die Bahnstadt
  • ruprecht
    Hier gibt’s die Lösungen zu unserem Quiz auf der Letzten!
  • ruprecht
    Aufstieg und Niedergang
  • ruprecht
    Warpaint – Warpaint
  • ruprecht
    Meister der Nähe
  • ruprecht
    Analog war gestern
  • ruprecht
    Kartografie rettet Leben
  • ruprecht
    Zu jung für den Schaukelstuhl
  • ruprecht
    Schnell, aber immer teurer
  • ruprecht
    Lustige Studentenjobs: Immer auf Achse
  • ruprecht
    Die Tribute von Panem: Catching Fire
  • ruprecht
    StuRa zum Ersten
  • ruprecht
    Die Narben der Diktatur
  • ruprecht
    Das Theoretikum
  • ruprecht
    Herbergslos am Heiligen Abend
  • ruprecht
    Das Kooperationsverbot abschaffen? – Contra
  • ruprecht
    Das Kooperationsverbot abschaffen? – Pro
  • ruprecht
    Einer für Alle
  • ruprecht
    Ausgeschenkt: Hoch hinaus
  • ruprecht
    Geschwätz von gestern
  • ruprecht
    Startschuss für den StuRa
  • ruprecht
    70 Mitglieder des StuRas stehen fest
  • ruprecht
    Die stillen Helden der Weltliteratur
  • ruprecht
    Security im Wohnheim
  • ruprecht
    „Die Auswirkungen von Studiengebühren sind Theresia Bauer egal“
  • ruprecht
    Ein Stein zum Lieben
  • ruprecht
    Der schöne Schein
  • ruprecht
    Sand im Getriebe
  • ruprecht
    Habitus Academicus
  • ruprecht
    Land der vielen Stimmen
  • ruprecht
    Occupez Montpellier
  • ruprecht
    Evaluation wird verändert – Fachschaft MathPhys bewertet die Lehre in der Mathematik nicht mehr
  • ruprecht
    Tosca im Theater Heidelberg
  • ruprecht
    Ungewöhnliche Studentenjobs: Hamsterzählen
  • ruprecht
    Interview: Professorin Ute Mager über Frauen in den Rechtswissenschaften
  • ruprecht
    Ausgeschenkt: Kakao im Schiller’s
  • ruprecht
    Problematische Novellierung des Landeshochschulgesetzes
  • ruprecht
    Alles über den StuRa
  • ruprecht
    Umfrage: Mit Test zum Studienplatz?
  • ruprecht
    Rechtsfragen in der neueren Genomforschung
  • ruprecht
    Die StuRa-Wahl
  • ruprecht
    Grüne Hochschulgruppe
  • ruprecht
    VASUH – Verein Afrikanischer Studierenden an der Uni Heidelberg
  • ruprecht
    PIRATEN
  • ruprecht
    Fachschaftsinitiative Medizin
  • ruprecht
    JUSO-Hochschulgruppe
  • ruprecht
    Fachschaften
  • ruprecht
    Die LISTE
  • ruprecht
    SDS – Sozialistisch-Demokratischer Studierendenverband
  • ruprecht
    Fachschaftsinitiative Jura
  • ruprecht
    RCDS & LHG – Ring Christlich-Demokratischer Studenten & Liberale Hochschulgruppe
  • ruprecht
    Die UnIVersAL-LISTE
  • ruprecht
    Sigur Rós – Kveikur
  • ruprecht
    Eklat in der Kuschelecke
  • ruprecht
    Zombies im Marstall
  • ruprecht
    Kunst im nächtlichen Mannheim: Der Nachtwandel
  • ruprecht
    Sicherer Hafen oder Festung Europa?
  • ruprecht
    Haftbefehl im Mordfall der litauischen Austauschstudentin
  • ruprecht
    Kakkmaddafakka – Six Months is a long time
  • ruprecht
    Kunst am Bauzaun
  • ruprecht
    Willkommen in Heidelberg
  • ruprecht
    Politik für alle
  • ruprecht
    Entdeckt Heidelberg!
  • ruprecht
    Total engagiert
  • ruprecht
    Heidelberg ist klein, aber oho!
  • ruprecht
    Komm zum ruprecht
  • ruprecht
    Dinge, die ein Student in Heidelberg getan haben sollte
  • ruprecht
    So kannst du gefördert werden
  • ruprecht
    Disco, Disco, Party, Party
  • ruprecht
    TOS – Idiom
  • ruprecht
    Shorts on stage
  • ruprecht
    Über den Dingen
  • ruprecht
    Heidelberger Veggie Tag – ein „voller Erfolg“?
  • ruprecht
    Studieren ohne Lebensqualität
  • ruprecht
    Das große Fressen
  • ruprecht
    Hexenjagd im Netz
  • ruprecht
    Die längste Einöde Europas
  • ruprecht
    Sprechen über den Tod, mit dem Metzger Roland Unger
  • ruprecht
    Stadt der träumenden Bücher
  • ruprecht
    Zahlen, bitte!
  • ruprecht
    Ceci n’est pas un fruit
  • ruprecht
    Raum für Leib und Seele
  • ruprecht
    Dark angel, lend me thy light
  • ruprecht
    Geschichte, die noch qualmt
  • ruprecht
    Tränengas auf dem Taksim-Platz
  • ruprecht
    Der Kommilitone im Bundestag
  • ruprecht
    Eine Kohlrübe für Emil Gumbel?
  • ruprecht
    Konservative im Wahlfrust
  • ruprecht
    Brauchen wir Theologie? – Ja!
  • ruprecht
    Brauchen wir Theologie? – Nein!
  • ruprecht
    Spitze bis mäßig
  • ruprecht
    RCDS doch wieder raus
  • ruprecht
    Comics, Keeper und die Arabellion
  • ruprecht
    Schimmel und Einsturzgefahr
  • ruprecht
    Die zerstörerische Macht des Geldes
  • ruprecht
    RCDS setzt sich gegen JUSOS durch
  • ruprecht
    Jimmy Eat World – Damage
  • ruprecht
    En garde!
  • ruprecht
    Daft Punk – Random Access Memories
  • ruprecht
    Queens of the Stone Age – …Like Clockwork
  • ruprecht
    The Place beyond the Pines
  • ruprecht
    Der Überlehrer
  • ruprecht
    Unterhaltsam und tiefgründig inszeniert
  • ruprecht
    Man of steel
  • ruprecht
    Tabu – Es ist die Seele ein Fremdes auf Erden
  • ruprecht
    Eng und ekelhaft
  • ruprecht
    Die Zukunft der Verfassten Studierendenschaft
  • ruprecht
    Achtung, Fertig, Predigt!
  • ruprecht
    Der Hai aus Mittelerde
  • ruprecht
    Der Mann aus (A)Rabien
  • ruprecht
    Angriff der Klonkrieger
  • ruprecht
    Nick Cave & The Bad Seeds: Push The Sky Away
  • ruprecht
    Übersetzen? …Das ist doch einfach!
  • ruprecht
    Johannes Falk 360°
  • ruprecht
    Inkonsequenz und gelungene Satire
  • ruprecht
    Unnötige Umstellung mit Verschlechterung des Logos
  • ruprecht
    Schönes Layout mit Raum für Verbesserungen
  • ruprecht
    „Rückwärtsgewandt, NSU-verharmlosend und sexistisch“
  • ruprecht
    Nach dem Symposium ist vor dem Symposium
  • ruprecht
    Bachelor auch für Lehrer? Ja
  • ruprecht
    Bachelor auch für Lehrer? Nein
  • ruprecht
    Richard Wagners britische Fanbase
  • ruprecht
    Jetzt noch bürgerlicher
  • ruprecht
    Reden über Macht
  • ruprecht
    John Grant: Pale Green Ghosts
  • ruprecht
    Käptn Peng & Die Tentakel von Delphi: Expedition ins O
  • ruprecht
    Der Baumstamm schweigt
  • ruprecht
    Bjørn Berge: Mad Fingers Ball
  • ruprecht
    „Was sind das für Ideale?“
  • ruprecht
    Kulturkonservatismus am Czernyring
  • ruprecht
    Wenn Studieren zum Luxus wird
  • ruprecht
    Das Unternehmen im Kofferraum
  • ruprecht
    Wenn es keinen Ärger mehr gibt, dann bin ich weg
  • ruprecht
    Keine Angst vor Selbstbestimmung
  • ruprecht
    Vorsicht vor BAföG-Betrug
  • ruprecht
    Die Qual der Wahl
  • ruprecht
    Even The Rain – Und dann der Regen
  • ruprecht
    Ein Krankenschein für Papierlose
  • ruprecht
    Django Unchained
  • ruprecht
    „Rahmenbedingungen nicht verändert“
  • ruprecht
    Knappe Mehrheit für Abspaltung
  • ruprecht
    „Der Wirtschaft ist nicht gedient“
  • ruprecht
    Whisky, Harry Potter und Skills
  • ruprecht
    Gender sells!?
  • ruprecht
    Abkassieren statt Verkehrssicherheit

Empfohlene Artikel

Meldungen
Hochschule

“Feige Schmähungen und verfassungswidrige Symbole”

18. April 2026
Meldungen
Heidelberg

Drohnenabwehr mit Heideldruck

18. April 2026
ruprechts Allerlei – Ausgabe 206
Glosse

Wegane Vurst wervirrt

25. März 2026
ruprechts Allerlei – Ausgabe 206
Glosse

Knallt’s bei dir?

24. März 2026
nächster Artikel

Jetzt noch bürgerlicher

Richard Wagners britische Fanbase

Richard Wagners britische Fanbase

Bachelor auch für Lehrer? Ja

Bachelor auch für Lehrer? Nein

Schreibe einen Kommentar Antwort abbrechen

Deine E-Mail-Adresse wird nicht veröffentlicht. Erforderliche Felder sind mit * markiert


  • Impressum
  • Datenschutzerklärung
  • Printarchiv
  • Unsere Redaktion

kein Ergebnis
View All Result
  • Startseite
    • ruprecht fragt
    • Glosse
    • Schlagloch
    • Pro-Contra
  • Hochschule
    • StuRa
    • Hochschule bleibt stabil
  • Studentisches Leben
    • Psychische Gesundheit
    • 7 Tage
    • Dr. Ruprechts Sprechstunde
  • Heidelberg
    • Kneipenkritik
    • Heidelberger Historie
    • OB-Wahl 2022
  • Wissenschaft
  • Feuilleton
    • Literatur
    • Musik
    • Film & Theater
    • Pro-Contra im Feuilleton
  • Weltweit
  • Die Letzte
  • Online exklusiv
  • Über Uns
    • So entsteht die Ausgabe
    • Unsere Redaktion
    • Mitmachen!
    • Impressum
  • Print
    • Printarchiv
    • Leserbriefe – Info
    • Zu den Briefen