Seit Jahrhunderten strebt die Medizin danach, ihr Verständnis des menschlichen Körpers zu erweitern und effektivere Heilmethoden zu entwickeln. Häufig war ihre Vorgehensweise dabei äußerst umstritten. So waren die ersten Anatomen der frühen Renaissance noch darauf angewiesen, Leichen auf dem Friedhof auszugraben, um an ihnen heimlich die menschliche Physiologie zu studieren. Zwar hat sich die Wissenschaft seither enorm weiterentwickelt, an einem prinzipiellen Dilemma jedoch hat sich auch bis heute wenig geändert: Irgendwann muss sich medizinische Forschung auf den Menschen beziehen.
Insbesondere an Universitätskliniken, zu deren Kernbereichen Forschung zählt, müssen früher oder später Menschen als Testobjekte herhalten. Doch was, wenn Forschung, die potentiell Leben retten könnte, ein Risiko für ihre Testobjekte darstellt? Darf man einige Menschen gefährden, um anderen zu helfen? Und würde dies nicht den Hippokratischen Eid verletzen, den Schwur des Arztes, seinen Patienten nie zu schaden? Die Medizinische Fakultät Heidelberg arbeitet seit ihrer Gründung im Jahre 1386 an der Entwicklung und Verbesserung von Therapien. Zu ihren Schwerpunkten zählt dabei neben den Neurowissenschaften vor allem die Onkologie, die Krebsforschung. Mittlerweile zählt die Fakultät in Deutschland zu den angesehensten Forschungseinrichtungen. Und auch hier werden zahlreiche Studien mit menschlichen Testsubjekten durchgeführt. Mit FIM (first-in-man) Heidelberg existiert sogar ein eigens gegründetes Netzwerk, das sich auf die Durchführung und Begleitung von Studien insbesondere zur Erstanwendung neuer Medikamente spezialisiert hat.
Doch wie funktionieren Studien mit menschlichen Probanden? Und wie fühlt man sich als Versuchskaninchen? Um diesen Fragen auf den Grund zu gehen, habe ich mich als Proband für eine klinische Studie zur Erforschung der Ursachen der Höhenkrankheit angemeldet. Die Reaktionen auf mein Vorhaben erstreckten sich von Fragen wie: „Aber verkaufst du damit nicht deinen Körper?“ bis zu einem erschrockenen „Nein! Du schluckst keine Pillen!“ Ein Medikamententest war im Rahmen der Studie tatsächlich nicht vorgesehen. Der ersten Frage jedoch hatte ich wenig entgegenzusetzen. Die Entlohnung für die Studie betrug 100 Euro, für ein knappes Studentenbudget nicht wenig. Und das nur dafür, dass ich eine Nacht in einer sogenannten Hypoxiekammer verbringen sollte.
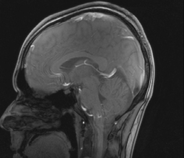
Dort würde ich Luft atmen, die statt der gewohnten 21 nur zwölf Prozent Sauerstoff enthält. Dies entspricht in etwa den Verhältnissen in einer Höhe von 4000 Metern über dem Meeresspiegel. Durch den einhergehenden Sauerstoffmangel, so die Forschungshypothese, würden die Wände der Blutgefäße des Gehirns undicht und daher Blut und Hirnwasser vermischt. Um dies zu prüfen, würden vorher und nachher MRT-Aufnahmen meines Kopfes gemacht. Bei etwa der Hälfte der Probanden sei außerdem mit Symptomen der akuten Höhenkrankheit zu rechnen.
Dennoch, versicherte man mir während der umfassenden Vorbesprechung, gäbe es neben akutem Unwohlsein während der sogenannten Hypoxie absolut kein Risiko langfristiger Gesundheitsschäden. Außerdem sei rund um die Uhr medizinisches Personal in der Nähe. Kein Grund zur Sorge also. Die Tatsache, dass ich mit meiner Unterschrift unter den Probandenvertrag die Universität Heidelberg für den Fall meines Todes während der Studie von jeglicher Verantwortung lossprach, trug dennoch wenig zu meiner Beruhigung bei.
Darf Forschung einigen schaden, um anderen zu nutzen?
Die ethischen Probleme, die die klinische Forschung aufwirft, sind nicht neu. Bereits 1975 fanden sie Ausdruck und Anerkennung in der Deklaration von Helsinki. Diese umfassende Erklärung des Weltärztebundes, die seither mehrfach revidiert und zuletzt 2008 aktualisiert wurde, gilt als grundlegende ethische Richtlinie für die medizinische Forschung am Menschen. Für die anfangs aufgeworfenen Fragen findet sich hier eine gleichermaßen salomonische und unbefriedigende Antwort: Die Forschung sei nur dann zu rechtfertigen, wenn ihr potentieller Nutzen die inhärenten Risiken überwiege. Das Wohlergehen des individuellen Testobjekts jedoch wiege stets schwerer als alle anderen mit der Forschung verbundenen Interessen.
Trotz eines leicht mulmigen Gefühls begebe ich mich also in die Sportmedizinische Ambulanz der Krehl-Klinik, es ist Samstagnachmittag. Während andere Studenten sich für das abendliche Ausgehen wappnen, lasse ich die ersten Voruntersuchungen über mich ergehen. Kurz darauf liege ich bereits zum ersten Mal in einem Tomographen. Dessen Röhre ist noch enger als ich vermutet hatte. Und laut wird es in ihr auch: Ein MRT (Magnetresonanztomograph) arbeitet mit starken Magnetfeldern. Die dafür benötigten Stromstärken produzieren einiges Geräusch. Nach einer Weile fühle ich mich, als läge ich auf einem U-Bahn-Schacht.
Nach einiger Zeit, es muss wohl eine halbe Stunde gewesen sein, stoppt das Klopfen des Tomographen. Ich werde aus der Röhre gefahren. Nun soll die Hypoxie beginnen und ich beziehe mein Nachtquartier in einem scheinbar normalen Zweibettzimmer. Ich erhalte letzte Instruktionen, während die Klimaanlage bereits gnadenlos den Sauerstoff aus dem Raum saugt. Bereits wenig später melden sich erste Symptome. Mein Puls rast, ich fühle mich beschwipst und meine Augenlieder fühlen sich seltsam schwer an. Ich versuche zu lesen, aber ständig schweifen meine Gedanken ab. Nach einer Weile stößt mein Probandengeselle dazu. Er ist, wie offenbar viele Probanden, Medizinstudent und nimmt ebenfalls zum ersten Mal an einer Studie teil. Auch ihn lockt vor allem die Neugier, klinische Studien einmal aus einer anderen Perspektive zu erleben. Kurz darauf unterbricht Studienleiter Phillip, selbst noch Student, unser Dösen.
Grundlagenforschung ist abstrakt. Aber nicht überflüssig.
Während ihres regulären Studiums absolvieren Heidelberger Medizinstudenten ein kursfreies Semester, das meist der Forschung im Rahmen ihrer Promotion gewidmet wird. Die zu erforschende Thematik sowie die Vorgehensweise dabei obliegen ihrer eigenen Entscheidung. Phillip hatte sich vor allem aufgrund seines Interesses für Kletterei für diese Studie der Abteilung Höhenmedizin entschieden. So hatte es ihn bereits früh in die Forschung am Menschen verschlagen.
Es ist Zeit für eine erste Zwischenuntersuchung. Langsam erhebe ich mich von meinem Bett und muss feststellen, dass Sauerstoffmangel auch leichte Tätigkeiten wie Stehen nicht unbedingt einfacher macht. Benommen wanke ich durch den Raum, um mir Blut aus dem Ohrläppchen entnehmen zu lassen. Das anschließende Abendessen mümmele ich mit Mühe. Mittlerweile habe ich Kopfschmerzen und auch mein Bettnachbar wirkt etwas blass. Unser anschließender Versuch, einen Film zu schauen, scheitert an unserer Mattigkeit. Gegen zehn Uhr abends bekomme ich Ibuprophen gegen die Kopfschmerzen und wenig später befinde ich mich in einem tranceähnlichen Zustand. Dennoch kann ich mich über meine Lage kaum beklagen. Während ich sogar immer wieder für einige Minuten schlafen kann, ergeht es meinem Mitprobanden trotz der rührenden Pflege durch Phillip wesentlich dreckiger. Immer wieder dringen unglimpfliche Kotzgeräusche vom Nachbarbett zu mir herüber.
Am nächsten Morgen sehne ich die abschließende MRT-Aufnahme förmlich herbei. Mittlerweile ist mir vollauf bewusst, wofür man das scheinbar leicht verdiente Probandenentgelt erhält. Nicht dass ich meine Teilnahme an der Studie bereuen würde, aber erneut teilnehmen werde ich wohl nicht. Kurz darauf werde ich in einem Rollstuhl Richtung MRT geschoben, neben mir ein riesiger Blasebalg. Durch diesen werde ich auch weiterhin mit sauerstoffarmer Luft beatmet. In den Gängen der Klinik werde ich misstrauisch beäugt; ich muss ziemlich miserabel aussehen. Eine halbe Stunde später jedoch ist alles überstanden. Zum ersten Mal seit zwölf Stunden kann ich wahrhaft durchatmen. Ein wunderschönes Gefühl. Nach diesem Erlebnis beschleicht mich jedoch erneut die Frage: Wozu das Ganze? Wofür, außer als neues Facebook-Profilbild, taugen 2000 Fotos meines Gehirns? Kurz: Hat sich der Aufwand gelohnt?
Dem Probanden entsteht kein unmittelbarer persönlicher Nutzen aus der Studie. So steht es in dem Vertrag, den ich vor meiner Teilnahme unterschrieb. Doch möglicherweise gelingt es Phillip, aus meinen Daten neue Erkenntnisse über die Höhenkrankheit zu gewinnen. Zu verstehen, welche Prozesse bei ihrer Entstehung eine Rolle spielen und wie sie sich auf den Körper auswirkt. Und möglicherweise helfen diese Erkenntnisse irgendwann dabei, eine Therapie zu entwickeln.Ein fundamentales Problem der Grundlagenforschung besteht darin, dass ihr Zweck oft wenig greifbar erscheint, ihre Ziele in der Zukunft liegen. Und was die Medizin betrifft, wird sich auf ihr grundlegendes moralisches Dilemma wohl auch in Zukunft keine bessere Antwort finden lassen. Doch eines dürften fünf Jahrhunderte, die der Mensch und sein Körper bereits als medizinisches Versuchsobjekt dienten, deutlich gezeigt haben: Überflüssig ist diese Forschung keinesfalls.
von Paul Eckartz






